You have no items in your shopping cart.
TXK Antibody
Description
Research Area
Images & Validation
−| Tested Applications | ELISA, IF, IHC, WB |
|---|---|
| Dilution Range | WB:1:500-5000, IHC-P:1:20-200, IF:1:50-200 |
| Reactivity | Human, Rat |
Key Properties
−| Host | Rabbit |
|---|---|
| Clonality | Polyclonal |
| Isotype | IgG |
| Immunogen | Recombinant Human Tyrosine-protein kinase TXK protein (32-83AA) |
| Target | TXK |
| Purification | >95%, Protein G purified |
| Conjugation | Unconjugated |
Storage & Handling
−| Storage | Maintain refrigerated at 2-8°C for up to 2 weeks. For long term storage store at -20°C in small aliquots to prevent freeze-thaw cycles. |
|---|---|
| Form/Appearance | Liquid |
| Buffer/Preservatives | Preservative: 0.03% Proclin 300. Constituents: 50% Glycerol |
| Expiration Date | 12 months from date of receipt. |
| Disclaimer | For research use only |
Alternative Names
−Similar Products
−TXK Antibody [orb20187]
ELISA, IHC, WB
Bovine, Canine, Mouse, Porcine
Human
Goat
Polyclonal
Unconjugated
100 μgTxk rabbit pAb Antibody [orb770343]
ELISA, IF, IHC
Human, Mouse, Rat
Polyclonal
Unconjugated
100 μl, 50 μlTXK Antibody [orb1249603]
ELISA, IHC, WB
Bovine, Canine, Mouse, Porcine
Human
Goat
Polyclonal
Unconjugated
0.1 mgRLK Antibody [orb382503]
IHC, WB
Human, Mouse, Rat
Rabbit
Polyclonal
Unconjugated
30 μl, 100 μl, 200 μl, 50 μl

Quality Guarantee
Explore bioreagents carefree to elevate your research. All our products are rigorously tested for performance. If a product does not perform as described on its datasheet, our scientific support team will provide expert troubleshooting, a prompt replacement, or a refund. For full details, please see our Terms & Conditions and Buying Guide. Contact us at [email protected].

Western blot analysis of HEK293(lane 1), Jurkat(lane 2) whole cell lysate, Rat liver(lane 3), Rat stomach(lane 4) tissue using TXK antibody

Immunohistochemical staining of human lymph node tissue using TXK antibody

Immunofluorescence analysis of HepG2 cells using TXK antibody

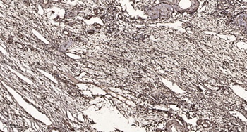
Immunohistochemical staining of human breast cancer using TXK antibody
Quick Database Links
UniProt Details
−Documents Download
Request a Document
Protocol Information
TXK Antibody (orb53071)
Participating in our Biorbyt product reviews program enables you to support fellow scientists by sharing your firsthand experience with our products.
Login to Submit a Review










