You have no items in your shopping cart.
TRIP13 Antibody
Description
Research Area
Images & Validation
−| Tested Applications | ELISA, IHC, IP, WB |
|---|---|
| Dilution Range | WB: 1:500-1:2000; IP: 1:200-1:1000; IHC: 1:50-1:500 |
| Reactivity | Human, Mouse, Rat |
Key Properties
−| Antibody Type | Primary Antibody |
|---|---|
| Host | Rabbit |
| Clonality | Polyclonal |
| Isotype | IgG |
| Immunogen | thyroid hormone receptor interactor 13 |
| Target | TRIP13 |
| Molecular Weight | 63 kDa, Observed 85 kDa |
| Purity | ≥95% as determined by SDS-PAGE |
| Purification | Immunogen affinity purified |
| Conjugation | Unconjugated |
Storage & Handling
−| Storage | Maintain refrigerated at 2-8°C for up to 2 weeks. For long term storage store at -20°C in small aliquots to prevent freeze-thaw cycles. |
|---|---|
| Form/Appearance | liquid |
| Expiration Date | 12 months from date of receipt. |
| Disclaimer | For research use only |
Alternative Names
−Similar Products
−TRIP13 Antibody (C-term) [orb1937310]
FC, IHC-P, WB
Mouse, Porcine, Rat
Human
Rabbit
Polyclonal
Unconjugated
100 μl, 50 μlTRIP13 Antibody [orb214887]
IF, WB
Canine, Human, Mouse, Rat
Rabbit
Polyclonal
Unconjugated
50 μl, 30 μl, 100 μl, 200 μl

Quality Guarantee
Explore bioreagents carefree to elevate your research. All our products are rigorously tested for performance. If a product does not perform as described on its datasheet, our scientific support team will provide expert troubleshooting, a prompt replacement, or a refund. For full details, please see our Terms & Conditions and Buying Guide. Contact us at [email protected].

Jurkat cells were subjected to SDS PAGE followed by western blot with orb632159 (TRIP13 antibody) at dilution of 1:400.

IP Result of anti-TRIP13 (IP: orb632159, 3 ug; Detection: orb632159 1:400) with mouse testis tissue lysate 3000 ug.

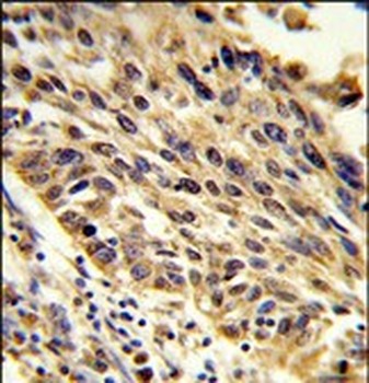
Immunohistochemistry of paraffin-embedded mouse testis tissue slide using orb632159 (TRIP13 antibody) at dilution of 1:200.
Quick Database Links
UniProt Details
−Documents Download
Request a Document
Protocol Information
TRIP13 Antibody (orb632159)
Participating in our Biorbyt product reviews program enables you to support fellow scientists by sharing your firsthand experience with our products.
Login to Submit a Review
















