You have no items in your shopping cart.
TPH2 Antibody
Description
Research Area
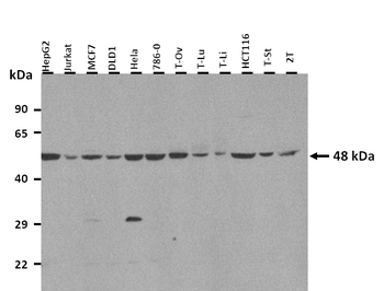
Images & Validation
−| Tested Applications | ELISA, IF, IHC, WB |
|---|---|
| Dilution Range | WB:1:200-5000, IHC-P:1:20-200, IF:1:50-200 |
| Reactivity | Human, Mouse, Rat |
Key Properties
−| Host | Rabbit |
|---|---|
| Clonality | Polyclonal |
| Isotype | IgG |
| Immunogen | Recombinant Human Tryptophan 5-hydroxylase 2 protein (44-225AA) |
| Target | TPH2 |
| Purification | >95%, Protein G purified |
| Conjugation | Unconjugated |
Storage & Handling
−| Storage | Maintain refrigerated at 2-8°C for up to 2 weeks. For long term storage store at -20°C in small aliquots to prevent freeze-thaw cycles. |
|---|---|
| Form/Appearance | Liquid |
| Buffer/Preservatives | Preservative: 0.03% Proclin 300. Constituents: 50% Glycerol |
| Expiration Date | 12 months from date of receipt. |
| Disclaimer | For research use only |
Alternative Names
−Similar Products
−TDO2 Rabbit Polyclonal Antibody [orb579553]
IHC, WB
Canine, Porcine
Human
Rabbit
Polyclonal
Unconjugated
100 μlTDO2 Rabbit Polyclonal Antibody [orb579554]
WB
Bovine, Canine, Guinea pig, Mouse, Rabbit, Rat, Zebrafish
Human
Rabbit
Polyclonal
Unconjugated
100 μlHuman Tryptophan Hydroxylase 2 (TPH2) ELISA Kit [orb778010]
Human
0.32-20 ng/mL
0.123 ng/mL
96 T, 48 TMouse Tryptophan Hydroxylase 2 (TPH2) ELISA Kit [orb780217]
Mouse
0.16-10 ng/mL
0.056 ng/mL
96 T, 48 T

Quality Guarantee
Explore bioreagents carefree to elevate your research. All our products are rigorously tested for performance. If a product does not perform as described on its datasheet, our scientific support team will provide expert troubleshooting, a prompt replacement, or a refund. For full details, please see our Terms & Conditions and Buying Guide. Contact us at [email protected].

Immunohistochemical staining of human liver tissue using TPH2 antibody

Immunohistochemical staining of human colon cancer using TPH2 antibody

Western blot analysis of Rat heart(lane 1), Mouse stomach(lane 2) tissue using TPH2 antibody

Immunofluorescence analysis of HepG2 cells using TPH2 antibody
Quick Database Links
UniProt Details
−Documents Download
Request a Document
Protocol Information
TPH2 Antibody (orb51802)
Participating in our Biorbyt product reviews program enables you to support fellow scientists by sharing your firsthand experience with our products.
Login to Submit a Review













