You have no items in your shopping cart.
You have no items in your shopping cart.
| Catalog Number | orb1258883 |
|---|---|
| Category | Antibodies |
| Description | SURF4 Antibody |
| Target | SURF4 |
| Clonality | Polyclonal |
| Isotype | IgG |
| Conjugation | Unconjugated |
| Reactivity | Human, Mouse, Rat |
| Form/Appearance | Liquid |
| Concentration | batch dependent |
| Buffer/Preservatives | Liquid |
| Purification | Affinity purification |
| Immunogen | A synthetic peptide corresponding to a sequence within amino acids 50-150 of human SURF4 (NP_001267719.1). |
| UniProt ID | O15260 |
| MW | Observed: 30kDa |
| Tested applications | IF, IHC, WB |
| Application notes | WB: 1:500 - 1:2000IHC: 1:50 - 1:200IF: 1:50 - 1:200 |
| Antibody Type | Primary Antibody |
| Storage | Maintain refrigerated at 2-8°C for up to 2 weeks. For long term storage store at -20°C in small aliquots to prevent freeze-thaw cycles. |
| Alternative names | SURF4, ERV29, FLJ22993, MGC102753 |
| Note | For research use only |

Western blot analysis of extracts of various cell lines, using SURF4 antibody (orb1258883) at 1:1000 dilution. Secondary antibody: HRP Goat Anti-Rabbit IgG (H+L) at 1:10000 dilution. Lysates/proteins: 25 ug per lane. Blocking buffer: 3% nonfat dry milk in TBST. Detection: ECL Basic Kit. Exposure time: 10s.

Immunohistochemistry of paraffin-embedded human liver cancer using SURF4 antibody (orb1258883) at dilution of 1:200 (40x lens).

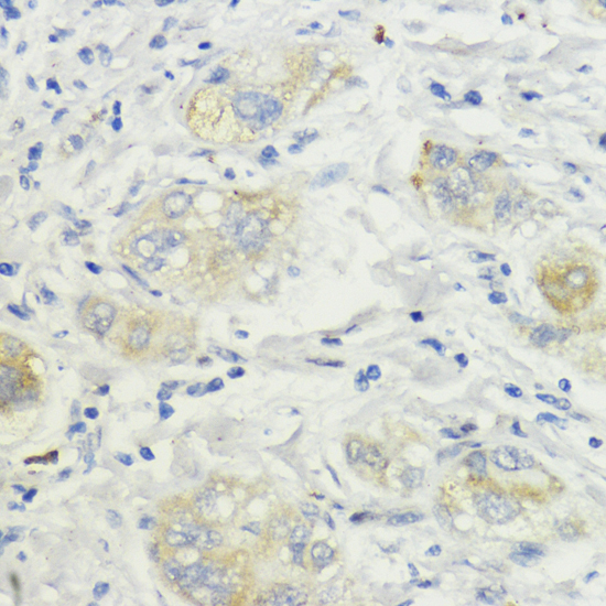
Immunohistochemistry of paraffin-embedded rat pancreatic islet using SURF4 antibody (orb1258883) at dilution of 1:200 (40x lens).
IF, IHC, WB | |
Human, Mouse, Rat | |
Rabbit | |
Polyclonal | |
Unconjugated |
WB | |
Bovine, Canine, Guinea pig, Mouse, Porcine, Rat, Zebrafish | |
Human | |
Rabbit | |
Polyclonal | |
Unconjugated |
IHC, IHC-P | |
Bovine, Human, Monkey, Mouse, Rat | |
Rabbit | |
Polyclonal | |
Unconjugated |
IHC, IHC-P | |
Bovine, Gallus, Human, Mouse, Rat, Xenopus | |
Rabbit | |
Polyclonal | |
Unconjugated |
Participating in our Biorbyt product reviews program enables you to support fellow scientists by sharing your firsthand experience with our products.
Login to Submit a Review