You have no items in your shopping cart.
STK36 Antibody
Description
Research Area
Images & Validation
−| Tested Applications | ELISA, IHC, IP, WB |
|---|---|
| Dilution range | WB: 1:500-1:2000; IP: 1:200-1:1000; IHC: 1:20-1:200 |
| Reactivity | Human, Mouse, Rat |
Key Properties
−| Antibody Type | Primary Antibody |
|---|---|
| Host | Rabbit |
| Clonality | Polyclonal |
| Isotype | IgG |
| Immunogen | serine/threonine kinase 36, fused homolog(Drosophila) |
| Target | STK36 |
| Purity | ≥95% as determined by SDS-PAGE |
| Purification | Immunogen affinity purified |
| Conjugation | Unconjugated |
Storage & Handling
−| Storage | Maintain refrigerated at 2-8°C for up to 2 weeks. For long term storage store at -20°C in small aliquots to prevent freeze-thaw cycles. |
|---|---|
| Form/Appearance | liquid |
| Disclaimer | For research use only |
Alternative Names
−Similar Products
−STK36 Rabbit Polyclonal Antibody [orb100856]
FC, IF, IHC-Fr, IHC-P
Canine, Equine, Porcine, Rat, Sheep
Human, Mouse
Rabbit
Polyclonal
Unconjugated
50 μl, 100 μl, 200 μlSTK36 rabbit pAb Antibody [orb768418]
ELISA, IF, IHC, WB
Human, Mouse
Polyclonal
Unconjugated
100 μl, 50 μlSTK36 Antibody [orb515374]
IHC, WB
Human, Mouse, Rat
Rabbit
Polyclonal
Unconjugated
30 μl, 100 μl, 200 μl, 50 μl

Quality Guarantee
Explore bioreagents carefree to elevate your research. All our products are rigorously tested for performance. If a product does not perform as described on its datasheet, our scientific support team will provide expert troubleshooting, a prompt replacement, or a refund. For full details, please see our Terms & Conditions and Buying Guide. Contact us at [email protected].

mouse testis tissue were subjected to SDS PAGE followed by western blot with orb631598 (STK36 antibody) at dilution of 1:300.

IP Result of anti-STK36 (IP: orb631598, 4 ug; Detection: orb631598 1:500) with mouse testis tissue lysate 4000 ug.

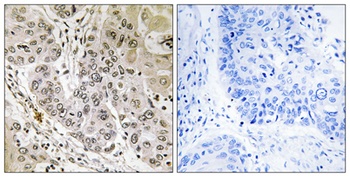
Immunohistochemistry of paraffin-embedded human prostate using orb631598 (STK36 antibody) at dilution of 1:50.
Quick Database Links
UniProt Details
−Documents Download
Request a Document
Protocol Information
STK36 Antibody (orb631598)
Participating in our Biorbyt product reviews program enables you to support fellow scientists by sharing your firsthand experience with our products.
Login to Submit a Review












