You have no items in your shopping cart.
STAG3 Antibody
Description
Images & Validation
−| Tested Applications | ELISA, IF, IHC, IP |
|---|---|
| Dilution Range | IP: 1:200-1:1000; IHC: 1:20-1:200; IF: 1:50-1:500 |
| Reactivity | Human |
Key Properties
−| Antibody Type | Primary Antibody |
|---|---|
| Host | Rabbit |
| Clonality | Polyclonal |
| Isotype | IgG |
| Immunogen | stromal antigen 3 |
| Target | STAG3 |
| Molecular Weight | 43 kDa |
| Purity | ≥95% as determined by SDS-PAGE |
| Purification | Immunogen affinity purified |
| Conjugation | Unconjugated |
Storage & Handling
−| Storage | Maintain refrigerated at 2-8°C for up to 2 weeks. For long term storage store at -20°C in small aliquots to prevent freeze-thaw cycles. |
|---|---|
| Form/Appearance | liquid |
| Expiration Date | 12 months from date of receipt. |
| Disclaimer | For research use only |
Similar Products
−STAG3 rabbit pAb Antibody [orb767421]
ELISA, IF, IHC, WB
Human, Mouse, Rat
Polyclonal
Unconjugated
100 μl, 50 μlSTAG3 Antibody [orb318963]
IF, IHC, WB
Human, Mouse
Rabbit
Polyclonal
Unconjugated
100 μl, 200 μl, 30 μl, 50 μl

Quality Guarantee
Explore bioreagents carefree to elevate your research. All our products are rigorously tested for performance. If a product does not perform as described on its datasheet, our scientific support team will provide expert troubleshooting, a prompt replacement, or a refund. For full details, please see our Terms & Conditions and Buying Guide. Contact us at [email protected].

IP Result of anti-STAG3 (IP: orb632854, 4 ug; Detection: orb632854 1:300) with human testis tissue lysate 4000 ug.

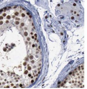
Immunohistochemistry of paraffin-embedded human testis tissue slide using orb632854 (STAG3 Antibody) at dilution of 1:200.
Quick Database Links
UniProt Details
−Documents Download
Request a Document
Protocol Information
STAG3 Antibody (orb632854)
Participating in our Biorbyt product reviews program enables you to support fellow scientists by sharing your firsthand experience with our products.
Login to Submit a Review










