You have no items in your shopping cart.
SPINK1 Antibody
Description
Images & Validation
−| Tested Applications | ELISA, IF, IHC |
|---|---|
| Dilution range | IHC-P:1:20-200, IF:1:50-200 |
| Reactivity | Human |
Key Properties
−| Host | Rabbit |
|---|---|
| Clonality | Polyclonal |
| Isotype | IgG |
| Immunogen | Recombinant Human Serine protease inhibitor Kazal-type 1 protein (19-79AA) |
| Target | SPINK1 |
| Purification | >95%, Protein G purified |
Storage & Handling
−| Storage | Maintain refrigerated at 2-8°C for up to 2 weeks. For long term storage store at -20°C in small aliquots to prevent freeze-thaw cycles. |
|---|---|
| Form/Appearance | Liquid |
| Buffer/Preservatives | Preservative: 0.03% Proclin 300. Constituents: 50% Glycerol |
| Disclaimer | For research use only |
Alternative Names
−Similar Products
−Human Serine Peptidase Inhibitor Kazal Type 1 (SPINK1) ELISA Kit [orb777065]
Human
1.57-100 ng/mL
0.61 ng/mL
96 T, 48 TSPINK1 Rabbit Polyclonal Antibody [orb101246]
IF, IHC-Fr, IHC-P
Human
Rabbit
Polyclonal
Unconjugated
50 μl, 100 μl, 200 μl

Quality Guarantee
Explore bioreagents carefree to elevate your research. All our products are rigorously tested for performance. If a product does not perform as described on its datasheet, our scientific support team will provide expert troubleshooting, a prompt replacement, or a refund. For full details, please see our Terms & Conditions and Buying Guide. Contact us at [email protected].

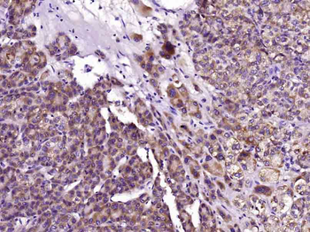
Immunohistochemistry of paraffin-embedded human colon cancer tissue using SPINK1 antibody

Immunofluorescent analysis of Hela cells using SPINK1 antibody

Immunohistochemistry of paraffin-embedded human pancreatic tissue using SPINK1 antibody
Quick Database Links
UniProt Details
−Documents Download
Request a Document
Protocol Information
SPINK1 Antibody (orb46139)
Participating in our Biorbyt product reviews program enables you to support fellow scientists by sharing your firsthand experience with our products.
Login to Submit a Review





