You have no items in your shopping cart.
SMARCD1 Antibody
Description
Research Area
Images & Validation
−| Tested Applications | ELISA, IF, IHC, WB |
|---|---|
| Dilution Range | WB:1:500-5000, IHC-P:1:20-200, IF:1:50-200 |
| Reactivity | Human |
Key Properties
−| Host | Rabbit |
|---|---|
| Clonality | Polyclonal |
| Isotype | IgG |
| Immunogen | Recombinant Human SWI/SNF-related matrix-associated actin-dependent regulator of chromatin subfamily D member 1 protein (7-124AA) |
| Target | SMARCD1 |
| Purification | >95%, Protein G purified |
| Conjugation | Unconjugated |
Storage & Handling
−| Storage | Maintain refrigerated at 2-8°C for up to 2 weeks. For long term storage store at -20°C in small aliquots to prevent freeze-thaw cycles. |
|---|---|
| Form/Appearance | Liquid |
| Buffer/Preservatives | Preservative: 0.03% Proclin 300. Constituents: 50% Glycerol |
| Expiration Date | 12 months from date of receipt. |
| Disclaimer | For research use only |
Alternative Names
−Similar Products
−SMARCD1 Rabbit Polyclonal Antibody [orb583959]
WB
Bovine, Canine, Equine, Guinea pig, Mouse, Rabbit, Rat, Zebrafish
Human
Rabbit
Polyclonal
Unconjugated
100 μlSMARCD1 Rabbit Polyclonal Antibody [orb631320]
ELISA, IF, IHC, IP, WB
Human, Mouse, Rat
Rabbit
Polyclonal
Unconjugated
50 μg, 100 μgSMARCD1 Antibody (C-term) [orb1935089]
WB
Bovine, Mouse
Human
Rabbit
Polyclonal
Unconjugated
100 μl, 50 μlMouse Smarcd1 Antibody(Center) [orb1932198]
WB
Bovine, Human
Mouse
Rabbit
Polyclonal
Unconjugated
100 μl, 50 μl

Quality Guarantee
Explore bioreagents carefree to elevate your research. All our products are rigorously tested for performance. If a product does not perform as described on its datasheet, our scientific support team will provide expert troubleshooting, a prompt replacement, or a refund. For full details, please see our Terms & Conditions and Buying Guide. Contact us at [email protected].

Western blot analysis of Hela whole cell lysate(Lane 1), Jurkat whole cell lysate(Lane 2), HepG2 whole cell lysate(Lane 3), K562 whole cell lysate(Lane 4) using SMARCD1 antibody

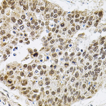
Immunohistochemical staining of human cervical cancer using SMARCD1 antibody

Immunohistochemical staining of Human lymph node using SMARCD1 antibody

Immunofluorescence analysis of Hela cells using SMARCD1 antibody
Quick Database Links
UniProt Details
−Documents Download
Request a Document
Protocol Information
SMARCD1 Antibody (orb401072)
Participating in our Biorbyt product reviews program enables you to support fellow scientists by sharing your firsthand experience with our products.
Login to Submit a Review











