You have no items in your shopping cart.
SIAT4A antibody
Description
Images & Validation
−| Tested Applications | ICC, IHC-P, WB |
|---|---|
| Dilution range | WB: 1:500-1:3000 , IF: 1:100-1:1000 , IHC-P: 1:100-1:1000 |
| Reactivity | Human |
Key Properties
−| Antibody Type | Primary Antibody |
|---|---|
| Host | Rabbit |
| Clonality | Polyclonal |
| Isotype | IgG |
| Immunogen | Recombinant protein encompassing a sequence within the center region of human SIAT4A. The exact sequence is proprietary. |
| Target | SIAT4A |
| Molecular Weight | 39 |
| Purity | Purified by antigen-affinity chromatography. |
| Purification | Purified by antigen-affinity chromatography. |
Storage & Handling
−| Storage | Store as concentrated solution. Centrifuge briefly prior to opening vial. For short-term storage (1-2 weeks), store at 4°C. For long-term storage, aliquot and store at -20°lC or below. Avoid multiple freeze-thaw cycles. |
|---|---|
| Form/Appearance | Liquid: 1XPBS, 1% rAlbumin, 20% Glycerol (pH7). 0.025% ProClin 300 was added as a preservative. |
| Buffer/Preservatives | 0.025% ProClin 300. 1XPBS pH 7, 20% Glycerol |
| Concentration | 0.43 mg/ml |
| Disclaimer | For research use only |
Alternative Names
−Similar Products
−ST3GAL1/SIAT4A Antibody [orb1294261]
IF, IHC, WB
Human, Mouse, Rat
Rabbit
Polyclonal
Unconjugated
25 μl, 100 μlST3GAL1 Rabbit Polyclonal Antibody [orb330413]
WB
Bovine, Canine, Equine, Guinea pig, Mouse, Rabbit, Rat, Zebrafish
Human
Rabbit
Polyclonal
Unconjugated
100 μlST3GAL1 Rabbit Polyclonal Antibody [orb514945]
ELISA, WB
Mouse, Rat
Human
Rabbit
Polyclonal
Unconjugated
100 μg

Quality Guarantee
Explore bioreagents carefree to elevate your research. All our products are rigorously tested for performance. If a product does not perform as described on its datasheet, our scientific support team will provide expert troubleshooting, a prompt replacement, or a refund. For full details, please see our Terms & Conditions and Buying Guide. Contact us at [email protected].

Immunofluorescence analysis of Hep3B cells using SIAT4A antibody

Immunohistochemical staining of human ovarian cancer using SIAT4A antibody

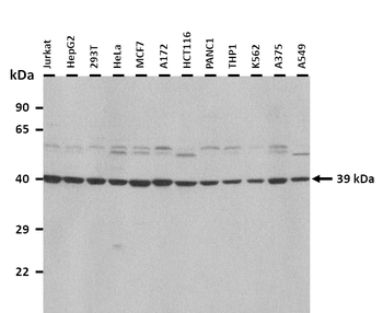
Western blot analysis of Whole cell extract using SIAT4A antibody
Quick Database Links
UniProt Details
−Documents Download
Request a Document
Protocol Information
SIAT4A antibody (orb556310)
Participating in our Biorbyt product reviews program enables you to support fellow scientists by sharing your firsthand experience with our products.
Login to Submit a Review













