You have no items in your shopping cart.
RIOX2 Rabbit Polyclonal Antibody
Description
Research Area
Images & Validation
−| Tested Applications | IHC, WB |
|---|---|
| Reactivity | Human |
| Predicted Reactivity | Equine, Porcine, Rabbit, Rat |
Key Properties
−| Host | Rabbit |
|---|---|
| Clonality | Polyclonal |
| Immunogen | The immunogen is a synthetic peptide directed towards the N terminal region of human MINA |
| Target | RIOX2 |
| Protein Sequence | Synthetic peptide located within the following region: MPKKAKPTGSGKEEGPAPCKQMKLEAAGGPSALNFDSPSSLFESLISPIK |
| Molecular Weight | 32kDa |
| Purification | Affinity Purified |
| Conjugation | Unconjugated |
Storage & Handling
−| Storage | Maintain refrigerated at 2-8°C for up to 2 weeks. For long term storage store at -20°C in small aliquots to prevent freeze-thaw cycles. |
|---|---|
| Buffer/Preservatives | Liquid. Purified antibody supplied in 1x PBS buffer with 0.09% (w/v) sodium azide and 2% sucrose. |
| Concentration | 0.5 mg/ml |
| Expiration Date | 12 months from date of receipt. |
| Disclaimer | For research use only |
Alternative Names
−Similar Products
−RIOX2 Rabbit Polyclonal Antibody [orb628812]
ELISA, IHC, IP, WB
Human, Mouse, Rat
Rabbit
Polyclonal
Unconjugated
50 μg, 100 μgRIOX2 Rabbit Polyclonal Antibody [orb573553]
WB
Canine, Porcine, Rabbit, Rat
Human
Rabbit
Polyclonal
Unconjugated
100 μlRIOX2 Rabbit Polyclonal Antibody [orb577253]
IHC, WB
Equine, Porcine, Rabbit, Rat
Human
Rabbit
Polyclonal
Unconjugated
100 μlRIOX2 Rabbit Polyclonal Antibody [orb577254]
WB
Bovine, Canine, Equine, Guinea pig, Mouse, Porcine, Rabbit, Rat
Human
Rabbit
Polyclonal
Unconjugated
100 μlRIOX2 Rabbit Polyclonal Antibody [orb573554]
WB
Bovine, Canine, Equine, Guinea pig, Mouse, Rabbit, Rat
Human
Rabbit
Polyclonal
Unconjugated
100 μl

Quality Guarantee
Explore bioreagents carefree to elevate your research. All our products are rigorously tested for performance. If a product does not perform as described on its datasheet, our scientific support team will provide expert troubleshooting, a prompt replacement, or a refund. For full details, please see our Terms & Conditions and Buying Guide. Contact us at [email protected].

Human kidney

Rabbit Anti-MINA Antibody, Catalog Number: orb577252, Formalin Fixed Paraffin Embedded Tissue: Human Thyroid Tissue, Observed Staining: Cytoplasm in follicular cells, Primary Antibody Concentration: 1:100, Other Working Concentrations: N/A, Secondary Antibody: Donkey anti-Rabbit-Cy3, Secondary Antibody Concentration: 1:200, Magnification: 20X, Exposure Time: 0.5-2.0 sec.

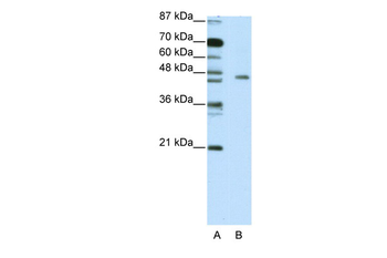
WB Suggested Anti-MINA Antibody Titration: 1.25 ug/ml, Positive Control: HepG2 cell lysate.
Documents Download
Request a Document
Protocol Information
RIOX2 Rabbit Polyclonal Antibody (orb577252)
Participating in our Biorbyt product reviews program enables you to support fellow scientists by sharing your firsthand experience with our products.
Login to Submit a Review








