You have no items in your shopping cart.
Description
Research Area
Images & Validation
−| Tested Applications | ELISA, IF, IHC, WB |
|---|---|
| Dilution Range | WB: 1:500-1:2000; IHC: 1:20-1:200; IF: 1:20-1:200 |
| Reactivity | Human, Mouse, Rat |
Key Properties
−| Antibody Type | Primary Antibody |
|---|---|
| Host | Rabbit |
| Clonality | Polyclonal |
| Isotype | IgG |
| Immunogen | RAD50 interactor 1 |
| Target | RINT1 |
| Purity | ≥95% as determined by SDS-PAGE |
| Purification | Immunogen affinity purified |
| Conjugation | Unconjugated |
Storage & Handling
−| Storage | Maintain refrigerated at 2-8°C for up to 2 weeks. For long term storage store at -20°C in small aliquots to prevent freeze-thaw cycles. |
|---|---|
| Form/Appearance | liquid |
| Expiration Date | 12 months from date of receipt. |
| Disclaimer | For research use only |
Similar Products
−RINT1 Rabbit Polyclonal Antibody [orb101603]
IF, IHC-Fr, IHC-P
Canine, Equine, Human, Mouse, Porcine, Rabbit, Sheep
Rat
Rabbit
Polyclonal
Unconjugated
50 μl, 100 μl, 200 μlRINT1 Rabbit Polyclonal Antibody [orb588010]
WB
Equine, Guinea pig, Rat
Human
Rabbit
Polyclonal
Unconjugated
100 μlRINT1 Rabbit Polyclonal Antibody (PE-Cy5.5) [orb884903]
IF
Canine, Equine, Human, Mouse, Porcine, Rabbit, Sheep
Rat
Rabbit
Polyclonal
PE/Cy5.5
100 μlRINT1 Rabbit Polyclonal Antibody (PE-Cy7) [orb884574]
IF
Canine, Equine, Human, Mouse, Porcine, Rabbit, Sheep
Rat
Rabbit
Polyclonal
PE/Cy7
100 μlRINT1 Rabbit Polyclonal Antibody (Cy5) [orb882743]
IF
Canine, Equine, Human, Mouse, Porcine, Rabbit, Sheep
Rat
Rabbit
Polyclonal
Cy5
100 μl

Quality Guarantee
Explore bioreagents carefree to elevate your research. All our products are rigorously tested for performance. If a product does not perform as described on its datasheet, our scientific support team will provide expert troubleshooting, a prompt replacement, or a refund. For full details, please see our Terms & Conditions and Buying Guide. Contact us at [email protected].

HepG2 cells were subjected to SDS PAGE followed by western blot with orb630692 (RINT1 antibody) at dilution of 1:500.

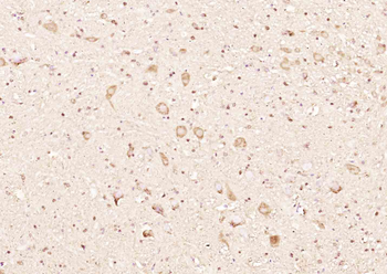
Immunohistochemistry of paraffin-embedded human breast cancer using orb630692 (RINT1 antibody) at dilution of 1:50.
Quick Database Links
UniProt Details
−Documents Download
Request a Document
Protocol Information
RINT1 Rabbit Polyclonal Antibody (orb630692)
Participating in our Biorbyt product reviews program enables you to support fellow scientists by sharing your firsthand experience with our products.
Login to Submit a Review

