You have no items in your shopping cart.
TYMS Antibody
Description
Research Area
Images & Validation
−| Tested Applications | IHC, WB |
|---|---|
| Reactivity | Human |
Key Properties
−| Antibody Type | Recombinant Antibody |
|---|---|
| Host | Rabbit |
| Clonality | Monoclonal |
| Isotype | IgG |
| Clone No. | TYMS/9091R |
| Immunogen | Recombinant human thymidylate synthase protein fragment (around aa 1-200) (exact sequence is proprietary) |
| Target | TYMS |
| Source/Expression System | CHO cells |
| Molecular Weight | 36kDa |
| Conjugation | Unconjugated |
Storage & Handling
−| Storage | Maintain refrigerated at 2-8°C for up to 2 weeks. For long term storage store at -20°C in small aliquots to prevent freeze-thaw cycles. |
|---|---|
| Form/Appearance | 200ug/ml of Ab purified from Bioreactor Concentrate by Protein A/G. Prepared in 10mM PBS with 0.05% rAlbumin & 0.05% azide. Also available WITHOUT rAlbumin at 1.0mg/ml. |
| Expiration Date | 12 months from date of receipt. |
| Disclaimer | For research use only |
Alternative Names
−Similar Products
−Thymidylate Synthase/TYMS Rabbit Polyclonal Antibody [orb1402114]
ELISA, IF, IHC, WB
Human, Monkey, Rat
Rabbit
Polyclonal
Unconjugated
100 μgTYMS Antibody / Thymidylate Synthase [orb2640443]
FACS, IF, IHC-P, WB
Human
Mouse
Monoclonal
Unconjugated
100 μgTYMS Antibody / Thymidylate Synthase [orb606355]
FACS, IF, IHC-P, WB
Human
Mouse
Monoclonal
Unconjugated
100 μg, 20 μgTYMS Rabbit Polyclonal Antibody [orb631888]
ELISA, IF, IHC, IP, WB
Human, Mouse, Rat
Rabbit
Polyclonal
Unconjugated
50 μg, 100 μg

Quality Guarantee
Explore bioreagents carefree to elevate your research. All our products are rigorously tested for performance. If a product does not perform as described on its datasheet, our scientific support team will provide expert troubleshooting, a prompt replacement, or a refund. For full details, please see our Terms & Conditions and Buying Guide. Contact us at [email protected].

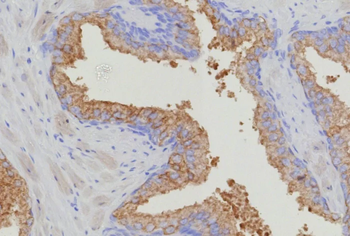
Formalin-fixed, paraffin-embedded human prostate carcinoma stained with Thymidylate Synthase Recombinant Rabbit Monoclonal (TYMS/9091R). HIER: Tris/EDTA, pH9.0, 45 min. 2°C: HRP-polymer, 30 min. DAB, 5 min.

IHC analysis of formalin-fixed, paraffin-embedded human brain. Negative tissue control using TYMS/9091R at 2 ug/ml in PBS for 30 min RT. HIER: Tris/EDTA, pH9.0, 45 min. 2°C: HRP-polymer, 30 min. DAB, 5 min.

SDS-PAGE Analysis of Purified TYMS Recombinant Rabbit Monoclonal Antibody (TYMS/9091R). Confirmation of Purity and Integrity of Antibody.
Quick Database Links
UniProt Details
−Documents Download
Request a Document
Protocol Information
TYMS Antibody (orb2309436)
Participating in our Biorbyt product reviews program enables you to support fellow scientists by sharing your firsthand experience with our products.
Login to Submit a Review
























