You have no items in your shopping cart.
PGR Antibody
Description
Research Area
Images & Validation
−| Tested Applications | IHC |
|---|---|
| Reactivity | Equine, Human |
Key Properties
−| Antibody Type | Recombinant Antibody |
|---|---|
| Host | Rabbit |
| Clonality | Monoclonal |
| Isotype | IgG |
| Clone No. | PGR/6854R |
| Immunogen | Recombinant fragment (around aa 1-200) of human PGR (exact sequence is proprietary) |
| Target | PGR |
| Source/Expression System | HEK293 cells |
| Molecular Weight | PR-A (81kDa) and PR-B (116kDa). |
| Conjugation | Unconjugated |
Storage & Handling
−| Storage | Maintain refrigerated at 2-8°C for up to 2 weeks. For long term storage store at -20°C in small aliquots to prevent freeze-thaw cycles. |
|---|---|
| Form/Appearance | 200ug/ml of Ab produced in HEK293 cell mammalian-based expression system. Prepared in 10mM PBS with 0.05% rAlbumin & 0.05% azide. Also available WITHOUT rAlbumin & azide at 1.0mg/ml. |
| Expiration Date | 12 months from date of receipt. |
| Disclaimer | For research use only |
Alternative Names
−Similar Products
−Progesterone Receptor Rabbit Polyclonal Antibody [orb500691]
FC, IF, IHC-Fr, IHC-P, WB
Rabbit
Human, Mouse, Rat
Rabbit
Polyclonal
Unconjugated
50 μl, 100 μl, 200 μlPR rabbit pAb Antibody [orb766130]
ELISA, IF, IHC, WB
Human, Mouse, Rat
Polyclonal
Unconjugated
100 μl, 50 μlPGR Antibody [orb1410363]
IHC
Human
Mouse
Monoclonal
Unconjugated
20 μg, 100 μg, 100 μg (without BSA and Azide)

Quality Guarantee
Explore bioreagents carefree to elevate your research. All our products are rigorously tested for performance. If a product does not perform as described on its datasheet, our scientific support team will provide expert troubleshooting, a prompt replacement, or a refund. For full details, please see our Terms & Conditions and Buying Guide. Contact us at [email protected].

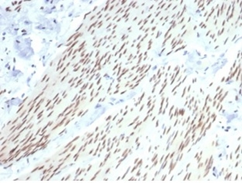
Formalin-fixed, paraffin-embedded horse smooth muscle stained with PR Recombinant Rabbit Monoclonal Antibody (PGR/6854R).

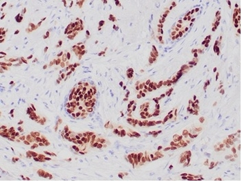
Formalin-fixed, paraffin-embedded human breast carcinoma stained with PR Recombinant Rabbit Monoclonal Antibody (PGR/6854R).

Formalin-fixed, paraffin-embedded human breast carcinoma stained with PR Recombinant Rabbit Monoclonal Antibody (PGR/6854R).

SDS-PAGE Analysis of Purified PR Recombinant Rabbit Monoclonal (PGR/6854R). Confirmation of Integrity and Purity of Antibody.
Quick Database Links
UniProt Details
−Documents Download
Request a Document
PGR Antibody (orb1410519)
Participating in our Biorbyt product reviews program enables you to support fellow scientists by sharing your firsthand experience with our products.
Login to Submit a Review













