You have no items in your shopping cart.
You have no items in your shopping cart.
| Catalog Number | orb1410327 |
|---|---|
| Category | Antibodies |
| Description | Mouse monoclonal antibody to Cdc20 (Cell Division Cycle Protein 20) |
| Target | CDC20 |
| Clonality | Monoclonal |
| Species/Host | Mouse |
| Isotype | IgG1 |
| Conjugation | Unconjugated |
| Reactivity | Human |
| Form/Appearance | 200ug/ml of Ab produced in HEK293 cell mammalian-based expression system. Prepared in 10mM PBS with 0.05% rAlbumin & 0.05% azide. Also available WITHOUT rAlbumin & azide at 1.0mg/ml. |
| Immunogen | Recombinant full-length human Cdc20 protein |
| UniProt ID | Q12834 |
| MW | 55kDa |
| Tested applications | IHC |
| Antibody Type | Recombinant Antibody |
| Clone Number | rCDC20/7184 |
| Expression System | HEK293 cells |
| Storage | Maintain refrigerated at 2-8°C for up to 2 weeks. For long term storage store at -20°C in small aliquots to prevent freeze-thaw cycles. |
| Alternative names | CDC20, CDC20A, p55CDC, P55CDC-LSB |
| Research Area | Cell Biology, Immunology & Inflammation, Neuroscie Read more... |
| Note | For research use only |
| Expiration Date | 12 months from date of receipt. |

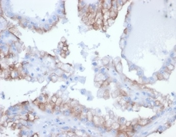
Formalin-fixed, paraffin-embedded human kidney cancer stained with CDC20 Recombinant Mouse Monoclonal Antibody (rCDC20/7184) at 2 ug/ml. HIER: Tris/EDTA, pH9.0, 45 min. 2°C: HRP-polymer, 30 min. DAB, 5 min.

SDS-PAGE Analysis of Purified CDC20 Recombinant Mouse Monoclonal Antibody (rCDC20/7184). Confirmation of Purity and Integrity of Antibody.
IHC | |
Human | |
Rabbit | |
Monoclonal | |
Unconjugated |
Participating in our Biorbyt product reviews program enables you to support fellow scientists by sharing your firsthand experience with our products.
Login to Submit a Review