You have no items in your shopping cart.
PTPRC Antibody
Description
Research Area
Images & Validation
−| Tested Applications | IHC, WB |
|---|---|
| Reactivity | Human |
Key Properties
−| Antibody Type | Recombinant Antibody |
|---|---|
| Host | Mouse |
| Clonality | Monoclonal |
| Isotype | IgG1 |
| Clone No. | rPTPRC/7284 |
| Immunogen | Recombinant full-length human PTPRC protein |
| Target | PTPRC |
| Source/Expression System | HEK293 cells |
| Molecular Weight | 180-220kDa |
| Conjugation | Unconjugated |
Storage & Handling
−| Storage | Maintain refrigerated at 2-8°C for up to 2 weeks. For long term storage store at -20°C in small aliquots to prevent freeze-thaw cycles. |
|---|---|
| Form/Appearance | 200ug/ml of Ab purified from Bioreactor Concentrate by Protein A/G. Prepared in 10mM PBS with 0.05% rAlbumin & 0.05% azide. Also available WITHOUT rAlbumin & azide at 1.0mg/ml. |
| Expiration Date | 12 months from date of receipt. |
| Disclaimer | For research use only |
Alternative Names
−Similar Products
−CD45 Rabbit Polyclonal Antibody [orb1179]
FC
Mouse, Rat
Human
Rabbit
Polyclonal
Unconjugated
50 μl, 100 μl, 200 μlCD45 Rabbit Polyclonal Antibody [orb312177]
ICC, IF, IHC-Fr, IHC-P, WB
Bovine
Human
Rabbit
Polyclonal
Unconjugated
200 μl, 100 μl, 50 μlCD45 Mouse Monoclonal Antibody [orb500902]
FC, WB
Human
Mouse
Monoclonal
Unconjugated
200 μg, 200 μl, 50 μl, 100 μl

Quality Guarantee
Explore bioreagents carefree to elevate your research. All our products are rigorously tested for performance. If a product does not perform as described on its datasheet, our scientific support team will provide expert troubleshooting, a prompt replacement, or a refund. For full details, please see our Terms & Conditions and Buying Guide. Contact us at [email protected].

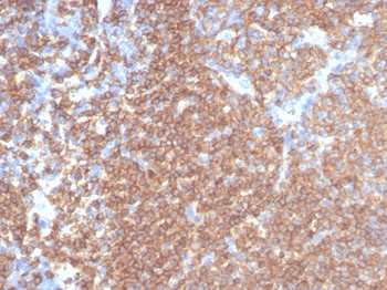
Formalin-fixed, paraffin-embedded human tonsil stained with CD45RA Recombinant Mouse Monoclonal Antibody (rPTPRC/7284). HIER: Tris/EDTA, pH9.0, 45 min. 2°C: HRP-polymer, 30 min. DAB, 5 min.

Formalin-fixed, paraffin-embedded human tonsil stained with CD45RA Recombinant Mouse Monoclonal Antibody (rPTPRC/7284). Inset: PBS instead of primary antibody; secondary only negative control.
Quick Database Links
UniProt Details
−Documents Download
Request a Document
Protocol Information
PTPRC Antibody (orb1410009)
Participating in our Biorbyt product reviews program enables you to support fellow scientists by sharing your firsthand experience with our products.
Login to Submit a Review
































