You have no items in your shopping cart.
CNN1 Antibody
Description
Research Area
Images & Validation
−| Tested Applications | IHC |
|---|---|
| Reactivity | Human |
Key Properties
−| Antibody Type | Recombinant Antibody |
|---|---|
| Host | Mouse |
| Clonality | Monoclonal |
| Isotype | IgG2b |
| Clone No. | rCNN1/9164 |
| Immunogen | Recombinant fragment (around aa1-200) of human CNN1 protein (exact sequence is proprietary) |
| Target | CNN1 |
| Source/Expression System | CHO cells |
| Molecular Weight | 34kDa |
| Conjugation | Unconjugated |
Storage & Handling
−| Storage | Maintain refrigerated at 2-8°C for up to 2 weeks. For long term storage store at -20°C in small aliquots to prevent freeze-thaw cycles. |
|---|---|
| Form/Appearance | 200ug/ml of recombinant MAb purified by Protein A/G. Prepared in 10mM PBS with 0.05% rAlbumin & 0.05% azide. Also available WITHOUT rAlbumin & azide at 1.0mg/ml. |
| Expiration Date | 12 months from date of receipt. |
| Disclaimer | For research use only |
Alternative Names
−Similar Products
−CNN1 Recombinant Rabbit Monoclonal Antibody [orb2563488]
IF, IHC-Fr, IHC-P, WB
Mouse, Rat
Human, Mouse, Rat
Rabbit
Recombinant
Unconjugated
25 μl, 50 μl, 100 μlCNN1 Antibody [orb387998]
FC, IF, IHC, WB
Human, Rat
Mouse
Monoclonal
Unconjugated
20 μg, 100 μg, 100 μg (without BSA and Azide)CNN1 Rabbit Polyclonal Antibody [orb10221]
IF, IHC-Fr, IHC-P, WB
Bovine, Canine, Gallus, Porcine, Rat, Sheep
Human, Mouse
Rabbit
Polyclonal
Unconjugated
200 μl, 100 μl, 50 μl

Quality Guarantee
Explore bioreagents carefree to elevate your research. All our products are rigorously tested for performance. If a product does not perform as described on its datasheet, our scientific support team will provide expert troubleshooting, a prompt replacement, or a refund. For full details, please see our Terms & Conditions and Buying Guide. Contact us at [email protected].

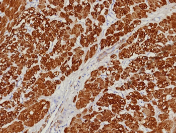
Formalin-fixed, paraffin-embedded human uterus stained with Calponin-1 Recombinant Mouse Monoclonal Antibody (rCNN1/9164). HIER: Tris/EDTA, pH9.0, 45 min. 2°C: HRP-polymer, 30 min. DAB, 5 min.

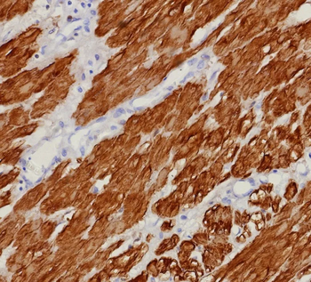
Formalin-fixed, paraffin-embedded human uterus stained with Calponin-1 Recombinant Mouse Monoclonal Antibody (rCNN1/9164). HIER: Tris/EDTA, pH9.0, 45 min. 2°C: HRP-polymer, 30 min. DAB, 5 min.

SDS-PAGE Analysis of Purified Calponin-1 Recombinant Mouse Monoclonal Antibody (rCNN1/9164). Confirmation of Purity and Integrity of Antibody.
Quick Database Links
UniProt Details
−Documents Download
Request a Document
CNN1 Antibody (orb2309544)
Participating in our Biorbyt product reviews program enables you to support fellow scientists by sharing your firsthand experience with our products.
Login to Submit a Review
























