You have no items in your shopping cart.
REC8 Antibody
Description
Research Area
Images & Validation
−| Tested Applications | ELISA, IHC, WB |
|---|---|
| Dilution range | WB:1:1000-5000, IHC-P:1:20-200 |
| Reactivity | Human |
Key Properties
−| Host | Rabbit |
|---|---|
| Clonality | Polyclonal |
| Isotype | IgG |
| Immunogen | Recombinant Human Meiotic recombination protein REC8 homolog protein (1-270AA) |
| Target | REC8 |
| Purification | Antigen Affinity Purified |
| Conjugation | Unconjugated |
Storage & Handling
−| Storage | Maintain refrigerated at 2-8°C for up to 2 weeks. For long term storage store at -20°C in small aliquots to prevent freeze-thaw cycles. |
|---|---|
| Form/Appearance | Liquid |
| Buffer/Preservatives | PBS with 0.02% sodium azide, 50% glycerol, pH7.3. |
| Disclaimer | For research use only |
Alternative Names
−Similar Products
−ORP150/HYOU1 Antibody [orb865410]
ELISA, ICC, IF, IHC, WB
Human, Mouse, Rat
Rabbit
Polyclonal
Unconjugated
100 μgLOC134147/CMBL Antibody [orb669219]
ELISA, FC, IHC, WB
Human, Mouse, Rat
Rabbit
Polyclonal
Unconjugated
100 μg

Quality Guarantee
Explore bioreagents carefree to elevate your research. All our products are rigorously tested for performance. If a product does not perform as described on its datasheet, our scientific support team will provide expert troubleshooting, a prompt replacement, or a refund. For full details, please see our Terms & Conditions and Buying Guide. Contact us at [email protected].

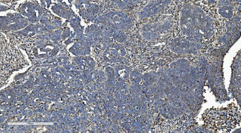
Immunohistochemistry of paraffin-embedded human colon cancer tissue using REC8 antibody

Western blot aanalysis of Jurkat whole cell lysate (Lane1), HT29 whole cell lysate (Lane2)using REC8 antibody

Immunohistochemistry of paraffin-embedded human testis tissue using REC8 antibody
Quick Database Links
UniProt Details
−Documents Download
Request a Document
Protocol Information
REC8 Antibody (orb41300)
Participating in our Biorbyt product reviews program enables you to support fellow scientists by sharing your firsthand experience with our products.
Login to Submit a Review

































