You have no items in your shopping cart.
RCVRN Antibody
Description
Research Area
Images & Validation
−| Tested Applications | ELISA, IF, IHC, WB |
|---|---|
| Dilution Range | WB: 1:500 - 1:2000; IHC: 1:50 - 1:200; IF: 1:10 - 1:100 |
| Reactivity | Human, Mouse, Rat |
Key Properties
−| Antibody Type | Primary Antibody |
|---|---|
| Host | Rabbit |
| Clonality | Polyclonal |
| Isotype | IgG |
| Immunogen | recoverin |
| Target | RCVRN |
| Molecular Weight | 23 kDa |
| Purity | ≥95% as determined by SDS-PAGE |
| Purification | Immunogen affinity purified |
| Conjugation | Unconjugated |
Storage & Handling
−| Storage | Maintain refrigerated at 2-8°C for up to 2 weeks. For long term storage store at -20°C in small aliquots to prevent freeze-thaw cycles. |
|---|---|
| Form/Appearance | liquid |
| Expiration Date | 12 months from date of receipt. |
| Disclaimer | For research use only |
Alternative Names
−Similar Products
−Recoverin/RCVRN Rabbit Polyclonal Antibody [orb1728217]
ELISA, IHC, WB
Human
Rabbit
Polyclonal
Unconjugated
100 μgRecoverin rabbit pAb Antibody [orb769893]
ELISA, IF, IHC, WB
Human, Mouse
Polyclonal
Unconjugated
50 μl, 100 μl

Quality Guarantee
Explore bioreagents carefree to elevate your research. All our products are rigorously tested for performance. If a product does not perform as described on its datasheet, our scientific support team will provide expert troubleshooting, a prompt replacement, or a refund. For full details, please see our Terms & Conditions and Buying Guide. Contact us at [email protected].

mouse eye tissue were subjected to SDS PAGE followed by western blot with orb630617 (RCVRN antibody) at dilution of 1:1000.

Immunofluorescence analysis of MCF-7 cells using orb630617 (RCVRN antibody). Blue: DAPI for nuclear staining.

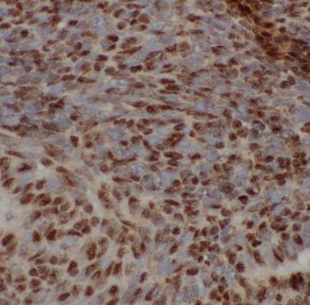
Immunohistochemistry of paraffin-embedded human liver cancer using orb630617 (Recoverin antibody) at dilution of 1:50.
Quick Database Links
UniProt Details
−Documents Download
Request a Document
Protocol Information
RCVRN Antibody (orb630617)
Participating in our Biorbyt product reviews program enables you to support fellow scientists by sharing your firsthand experience with our products.
Login to Submit a Review













