You have no items in your shopping cart.
RCN3 Antibody
Description
Images & Validation
−| Tested Applications | ELISA, IHC, WB |
|---|---|
| Dilution range | WB:1:500:5000, IHC-P:1:200:500 |
| Reactivity | Human, Mouse |
Key Properties
−| Host | Rabbit |
|---|---|
| Clonality | Polyclonal |
| Isotype | IgG |
| Immunogen | Recombinant Human Reticulocalbin-3 protein (71-161AA) |
| Target | RCN3 |
| Purification | >95%, Protein G purified |
| Conjugation | Unconjugated |
Storage & Handling
−| Storage | Maintain refrigerated at 2-8°C for up to 2 weeks. For long term storage store at -20°C in small aliquots to prevent freeze-thaw cycles. |
|---|---|
| Form/Appearance | Liquid |
| Buffer/Preservatives | Preservative: 0.03% Proclin 300. Constituents: 50% Glycerol |
| Disclaimer | For research use only |
Alternative Names
−Similar Products
−Calcipressin 3 Rabbit Polyclonal Antibody [orb156250]
IF, IHC-Fr, IHC-P, WB
Bovine, Canine, Gallus, Human, Porcine, Rabbit, Sheep
Mouse, Rat
Rabbit
Polyclonal
Unconjugated
50 μl, 100 μl, 200 μlRCN3 Antibody (Center) [orb1930358]
FC, WB
Bovine
Human, Mouse, Rat
Rabbit
Polyclonal
Unconjugated
100 μl, 50 μlRCN3 Antibody [orb1879615]
FC, WB
Human, Mouse
Rabbit
Polyclonal
Unconjugated
50 μl, 100 μl, 200 μl, 30 μl

Quality Guarantee
Explore bioreagents carefree to elevate your research. All our products are rigorously tested for performance. If a product does not perform as described on its datasheet, our scientific support team will provide expert troubleshooting, a prompt replacement, or a refund. For full details, please see our Terms & Conditions and Buying Guide. Contact us at [email protected].

Immunohistochemistry of paraffin-embedded human adrenal gland tissue using RCN3 antibody

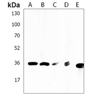
Western blot aanalysis of Hela whole cell lysate, U251 whole cell lysate, Mouse heart tissueusing RCN3 antibody

Immunohistochemistry of paraffin-embedded human liver tissue using RCN3 antibody
Quick Database Links
UniProt Details
−Documents Download
Request a Document
Protocol Information
RCN3 Antibody (orb422961)
Participating in our Biorbyt product reviews program enables you to support fellow scientists by sharing your firsthand experience with our products.
Login to Submit a Review







