You have no items in your shopping cart.
RASGRP3 Rabbit Polyclonal Antibody
Description
Images & Validation
−| Tested Applications | ELISA, IHC, WB |
|---|---|
| Dilution Range | WB: 1:500-1:2000; IHC: 1:20-1:200 |
| Reactivity | Human |
Key Properties
−| Antibody Type | Primary Antibody |
|---|---|
| Host | Rabbit |
| Clonality | Polyclonal |
| Isotype | IgG |
| Immunogen | RAS guanyl releasing protein 3(calcium and DAG-regulated) |
| Target | RASGRP3 |
| Purity | ≥95% as determined by SDS-PAGE |
| Purification | Immunogen affinity purified |
| Conjugation | Unconjugated |
Storage & Handling
−| Storage | Maintain refrigerated at 2-8°C for up to 2 weeks. For long term storage store at -20°C in small aliquots to prevent freeze-thaw cycles. |
|---|---|
| Form/Appearance | liquid |
| Expiration Date | 12 months from date of receipt. |
| Disclaimer | For research use only |
Alternative Names
−Similar Products
−Phospho-RASGRP3 (Thr133) Rabbit Polyclonal Antibody [orb313259]
ELISA, ICC, IF, IHC-Fr, IHC-P
Bovine, Human, Mouse, Rat
Human
Rabbit
Polyclonal
Unconjugated
100 μl, 50 μl, 200 μlRASGRP3 Rabbit Polyclonal Antibody [orb312877]
IF, IHC-Fr, IHC-P
Bovine, Canine, Equine, Gallus, Human, Porcine, Rabbit, Rat, Sheep
Mouse
Rabbit
Polyclonal
Unconjugated
100 μl, 200 μl, 50 μlRASGRP3 polyclonal antibody [orb647083]
IF, WB
Human, Mouse
Rabbit
Polyclonal
Unconjugated
200 μl, 100 μl, 50 μlPhospho-RASGRP3 (Thr133) Rabbit Polyclonal Antibody (FITC) [orb502758]
ICC, IF
Bovine, Human, Mouse, Rat
Rabbit
Polyclonal
FITC
100 μl

Quality Guarantee
Explore bioreagents carefree to elevate your research. All our products are rigorously tested for performance. If a product does not perform as described on its datasheet, our scientific support team will provide expert troubleshooting, a prompt replacement, or a refund. For full details, please see our Terms & Conditions and Buying Guide. Contact us at [email protected].

RAW264.7 cells were subjected to SDS PAGE followed by western blot with orb630536 (RASGRP3 antibody) at dilution of 1:800.

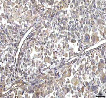
Immunohistochemistry of paraffin-embedded human ovary tumor slide using orb630536 (RASGRP3 Antibody) at dilution of 1:50.
Quick Database Links
UniProt Details
−Documents Download
Request a Document
Protocol Information
RASGRP3 Rabbit Polyclonal Antibody (orb630536)
Participating in our Biorbyt product reviews program enables you to support fellow scientists by sharing your firsthand experience with our products.
Login to Submit a Review




