You have no items in your shopping cart.
RAB3D Antibody
Description
Research Area
Images & Validation
−| Tested Applications | ELISA, IHC, IP, WB |
|---|---|
| Dilution Range | WB: 1:500-1:2000; IP: 1:200-1:1000; IHC: 1:20-1:200 |
| Reactivity | Human, Mouse, Rat |
Key Properties
−| Antibody Type | Primary Antibody |
|---|---|
| Host | Rabbit |
| Clonality | Polyclonal |
| Isotype | IgG |
| Immunogen | RAB3D, member RAS oncogene family |
| Target | RAB3D |
| Purity | ≥95% as determined by SDS-PAGE |
| Purification | Immunogen affinity purified |
| Conjugation | Unconjugated |
Storage & Handling
−| Storage | Maintain refrigerated at 2-8°C for up to 2 weeks. For long term storage store at -20°C in small aliquots to prevent freeze-thaw cycles. |
|---|---|
| Form/Appearance | liquid |
| Expiration Date | 12 months from date of receipt. |
| Disclaimer | For research use only |
Alternative Names
−Similar Products
−Rab3 Antibody [orb153347]
IF, IHC-Fr, IHC-P, WB
Bovine, Canine, Donkey, Equine, Feline, Gallus, Goat, Guinea pig, Hamster, Human, Mouse, Other, Porcine, Primate, Rabbit, Rat, Sheep
Goat
Polyclonal
Unconjugated
100 μgRab3A+Rab3B+Rab3C+Rab3D Rabbit Polyclonal Antibody [orb100134]
IF, IHC-Fr, IHC-P, WB
Human
Mouse, Rat
Rabbit
Polyclonal
Unconjugated
50 μl, 100 μl, 200 μl

Quality Guarantee
Explore bioreagents carefree to elevate your research. All our products are rigorously tested for performance. If a product does not perform as described on its datasheet, our scientific support team will provide expert troubleshooting, a prompt replacement, or a refund. For full details, please see our Terms & Conditions and Buying Guide. Contact us at [email protected].

mouse lung tissue were subjected to SDS PAGE followed by western blot with orb630438 (RAB3D Antibody) at dilution of 1:1200.

IP Result of anti-RAB3D (IP: orb630438, 3 ug; Detection: orb630438 1:600) with SW 1990 cells lysate 2400 ug.

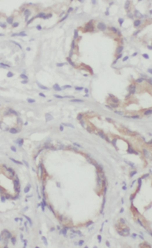
Immunohistochemistry of paraffin-embedded human prostate cancer tissue slide using orb630438 (RAB3D Antibody) at dilution of 1:50.
Quick Database Links
UniProt Details
−Documents Download
Request a Document
Protocol Information
RAB3D Antibody (orb630438)
Participating in our Biorbyt product reviews program enables you to support fellow scientists by sharing your firsthand experience with our products.
Login to Submit a Review










