You have no items in your shopping cart.
PWWP3B Antibody
Description
Research Area
Images & Validation
−| Tested Applications | ELISA, IHC |
|---|---|
| Dilution Range | IHC: 1:20-1:200 |
| Reactivity | Human |
Key Properties
−| Antibody Type | Primary Antibody |
|---|---|
| Host | Rabbit |
| Clonality | Polyclonal |
| Isotype | IgG |
| Immunogen | melanoma associated antigen(mutated) 1-like 1 |
| Target | PWWP3B |
| Purity | ≥95% as determined by SDS-PAGE |
| Purification | Immunogen affinity purified |
| Conjugation | Unconjugated |
Storage & Handling
−| Storage | Maintain refrigerated at 2-8°C for up to 2 weeks. For long term storage store at -20°C in small aliquots to prevent freeze-thaw cycles. |
|---|---|
| Form/Appearance | liquid |
| Disclaimer | For research use only |
Similar Products
−MUM1L1 Rabbit Polyclonal Antibody (PE) [orb489346]
ICC, IF
Bovine, Canine, Human, Mouse, Porcine, Rabbit, Rat, Sheep
Rabbit
Polyclonal
PE
100 μlMUM1L1 Rabbit Polyclonal Antibody (HRP) [orb473474]
ELISA, IHC-Fr, IHC-P
Bovine, Canine, Human, Mouse, Porcine, Rabbit, Rat, Sheep
Rabbit
Polyclonal
HRP
100 μlMUM1L1 Rabbit Polyclonal Antibody (Biotin) [orb451639]
ELISA, ICC, IF, IHC-Fr, IHC-P
Bovine, Canine, Human, Mouse, Porcine, Rabbit, Rat, Sheep
Rabbit
Polyclonal
Biotin
100 μlMUM1L1 Rabbit Polyclonal Antibody (FITC) [orb222180]
ICC, IF
Bovine, Canine, Human, Mouse, Porcine, Rabbit, Rat, Sheep
Rabbit
Polyclonal
FITC
100 μl

Quality Guarantee
Explore bioreagents carefree to elevate your research. All our products are rigorously tested for performance. If a product does not perform as described on its datasheet, our scientific support team will provide expert troubleshooting, a prompt replacement, or a refund. For full details, please see our Terms & Conditions and Buying Guide. Contact us at [email protected].

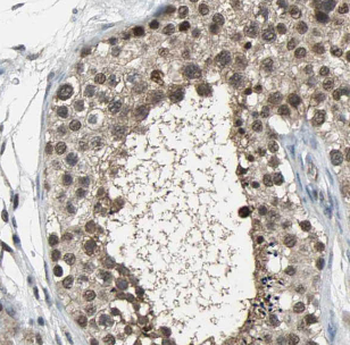
Immunohistochemistry of paraffin-embedded human testis using orb629049 (MUM1L1 antibody) at dilution of 1:50.
Quick Database Links
UniProt Details
−Documents Download
Request a Document
Protocol Information
PWWP3B Antibody (orb629049)
Participating in our Biorbyt product reviews program enables you to support fellow scientists by sharing your firsthand experience with our products.
Login to Submit a Review
