You have no items in your shopping cart.
PTPN18 Rabbit Polyclonal Antibody
Description
Research Area
Images & Validation
−| Tested Applications | ELISA, IHC, WB |
|---|---|
| Dilution Range | WB: 1:500-1:3000; IHC: 1:20-1:200 |
| Reactivity | Human, Mouse, Rat |
Key Properties
−| Antibody Type | Primary Antibody |
|---|---|
| Host | Rabbit |
| Clonality | Polyclonal |
| Isotype | IgG |
| Immunogen | protein tyrosine phosphatase, non-receptor type 18(brain-derived) |
| Target | PTPN18 |
| Purity | ≥95% as determined by SDS-PAGE |
| Purification | Immunogen affinity purified |
| Conjugation | Unconjugated |
Storage & Handling
−| Storage | Maintain refrigerated at 2-8°C for up to 2 weeks. For long term storage store at -20°C in small aliquots to prevent freeze-thaw cycles. |
|---|---|
| Form/Appearance | liquid |
| Expiration Date | 12 months from date of receipt. |
| Disclaimer | For research use only |
Alternative Names
−Similar Products
−PTPN18 Rabbit Polyclonal Antibody [orb317723]
IF, IHC-Fr, IHC-P
Bovine, Equine, Human, Porcine, Rat
Mouse
Rabbit
Polyclonal
Unconjugated
100 μl, 200 μl, 50 μlPTPN18 Rabbit Polyclonal Antibody [orb667845]
WB
Human, Mouse
Rabbit
Polyclonal
Unconjugated
50 μl, 200 μl, 100 μl, 30 μlPTPN18 Rabbit Polyclonal Antibody (HRP) [orb474346]
IHC-Fr, IHC-P
Bovine, Equine, Human, Porcine, Rat
Mouse
Rabbit
Polyclonal
HRP
100 μl

Quality Guarantee
Explore bioreagents carefree to elevate your research. All our products are rigorously tested for performance. If a product does not perform as described on its datasheet, our scientific support team will provide expert troubleshooting, a prompt replacement, or a refund. For full details, please see our Terms & Conditions and Buying Guide. Contact us at [email protected].

human brain tissue were subjected to SDS PAGE followed by western blot with orb630354 (PTPN18 antibody) at dilution of 1:500.

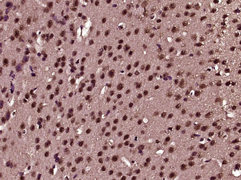
Immunohistochemistry of paraffin-embedded human brain using orb630354 (PTPN18 antibody) at dilution of 1:100.
Quick Database Links
UniProt Details
−Documents Download
Request a Document
Protocol Information
PTPN18 Rabbit Polyclonal Antibody (orb630354)
Participating in our Biorbyt product reviews program enables you to support fellow scientists by sharing your firsthand experience with our products.
Login to Submit a Review





