You have no items in your shopping cart.
Description
Research Area
Images & Validation
−| Tested Applications | ELISA, IF, IHC, IP, WB |
|---|---|
| Dilution Range | WB: 1:500-1:2000; IP: 1:500-1:1000 ; IHC: 1:50-1:500; IF: 1:10-1:100 |
| Reactivity | Human, Mouse, Rat |
Key Properties
−| Antibody Type | Primary Antibody |
|---|---|
| Host | Rabbit |
| Clonality | Polyclonal |
| Isotype | IgG |
| Immunogen | proteasome(prosome, macropain) activator subunit 4 |
| Target | PSME4 |
| Purity | ≥95% as determined by SDS-PAGE |
| Purification | Immunogen affinity purified |
| Conjugation | Unconjugated |
Storage & Handling
−| Storage | Maintain refrigerated at 2-8°C for up to 2 weeks. For long term storage store at -20°C in small aliquots to prevent freeze-thaw cycles. |
|---|---|
| Form/Appearance | liquid |
| Expiration Date | 12 months from date of receipt. |
| Disclaimer | For research use only |
Alternative Names
−Similar Products
−PSME4 Rabbit Polyclonal Antibody [orb667829]
IHC, WB
Human, Mouse, Rat
Rabbit
Polyclonal
Unconjugated
50 μl, 100 μl, 200 μl, 30 μlPSME4 polyclonal antibody [orb647736]
IHC, WB
Human, Mouse, Rat
Rabbit
Polyclonal
Unconjugated
200 μl, 100 μl, 50 μlPA200 Rabbit Polyclonal Antibody (FITC) [orb462806]
ICC, IF
Bovine, Canine, Equine, Gallus, Human, Mouse, Porcine, Rabbit, Rat, Sheep
Rabbit
Polyclonal
FITC
100 μlPA200 Rabbit Polyclonal Antibody [orb312438]
ICC, IF, IHC-Fr, IHC-P
Bovine, Canine, Equine, Gallus, Human, Mouse, Porcine, Rabbit, Rat, Sheep
Human
Rabbit
Polyclonal
Unconjugated
50 μl, 100 μl, 200 μl

Quality Guarantee
Explore bioreagents carefree to elevate your research. All our products are rigorously tested for performance. If a product does not perform as described on its datasheet, our scientific support team will provide expert troubleshooting, a prompt replacement, or a refund. For full details, please see our Terms & Conditions and Buying Guide. Contact us at [email protected].

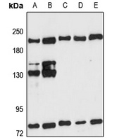
HEK-293 cells were subjected to SDS PAGE followed by western blot with orb395485 (PSME4 antibody) at dilution of 1:400.

IP Result of anti-PSME4 (IP: orb395485, 3 ug; Detection: orb395485 1:500) with HEK-293 cells lysate 1760ug.

Immunohistochemistry of paraffin-embedded human liver cancer tissue slide using orb395485 (PSME4 antibody) at dilution of 1:200.
Quick Database Links
UniProt Details
−Documents Download
Request a Document
Protocol Information
PSME4 Rabbit Polyclonal Antibody (orb395485)
Participating in our Biorbyt product reviews program enables you to support fellow scientists by sharing your firsthand experience with our products.
Login to Submit a Review


