You have no items in your shopping cart.
PRSS2 Rabbit Polyclonal Antibody
Description
Research Area
Images & Validation
−| Tested Applications | ELISA, IHC, WB |
|---|---|
| Dilution Range | WB: 1:500-1:3000; IHC: 1:200-1:600 |
| Reactivity | Human, Mouse, Rat |
Key Properties
−| Antibody Type | Primary Antibody |
|---|---|
| Host | Rabbit |
| Clonality | Polyclonal |
| Isotype | IgG |
| Immunogen | protease, serine, 2(trypsin 2) |
| Target | PRSS2 |
| Molecular Weight | 26kd,35kd |
| Purity | ≥95% as determined by SDS-PAGE |
| Purification | Immunogen affinity purified |
| Conjugation | Unconjugated |
Storage & Handling
−| Storage | Maintain refrigerated at 2-8°C for up to 2 weeks. For long term storage store at -20°C in small aliquots to prevent freeze-thaw cycles. |
|---|---|
| Form/Appearance | liquid |
| Expiration Date | 12 months from date of receipt. |
| Disclaimer | For research use only |
Alternative Names
−Similar Products
−PRSS2 Rabbit Polyclonal Antibody [orb2955623]
ELISA, IHC, WB
Human
Rabbit
Polyclonal
Unconjugated
50 μg, 100 μgPRSS2 polyclonal antibody [orb647130]
WB
Human, Mouse
Rabbit
Polyclonal
Unconjugated
200 μl, 100 μl, 50 μl

Quality Guarantee
Explore bioreagents carefree to elevate your research. All our products are rigorously tested for performance. If a product does not perform as described on its datasheet, our scientific support team will provide expert troubleshooting, a prompt replacement, or a refund. For full details, please see our Terms & Conditions and Buying Guide. Contact us at [email protected].

Raji cells were subjected to SDS PAGE followed by western blot with orb630264 (PRSS2 antibody) at dilution of 1:500.

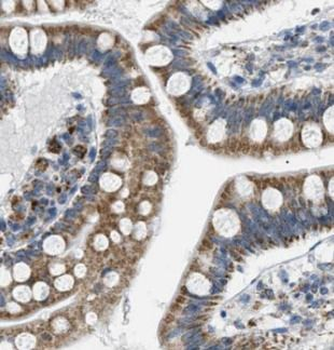
Immunohistochemistry of paraffin-embedded human small intestine tissue slide using orb630264 (PRSS2 Antibody) at dilution of 1:400.
Quick Database Links
UniProt Details
−Documents Download
Request a Document
Protocol Information
PRSS2 Rabbit Polyclonal Antibody (orb630264)
Participating in our Biorbyt product reviews program enables you to support fellow scientists by sharing your firsthand experience with our products.
Login to Submit a Review




