You have no items in your shopping cart.
PRKCA Antibody
Description
Research Area
Images & Validation
−| Tested Applications | ELISA, IHC, WB |
|---|---|
| Dilution Range | ELISA:1:2000-1:5000, WB:1:200-1:1000, IHC-P:1:25-1:100 |
| Reactivity | Human, Mouse, Rat |
Key Properties
−| Host | Rabbit |
|---|---|
| Clonality | Polyclonal |
| Isotype | IgG |
| Immunogen | Fusion protein of Human PRKCA |
| Target | PRKCA |
| Purification | Antigen Affinity Purified |
| Conjugation | Unconjugated |
Storage & Handling
−| Storage | Maintain refrigerated at 2-8°C for up to 2 weeks. For long term storage store at -20°C in small aliquots to prevent freeze-thaw cycles. |
|---|---|
| Form/Appearance | Liquid |
| Buffer/Preservatives | -20°C, pH7.4 PBS, 0.05% NaN3, 40% Glycerol |
| Expiration Date | 12 months from date of receipt. |
| Disclaimer | For research use only |
Alternative Names
−Similar Products
−Phospho-PKC alpha (Thr638) Recombinant Rabbit Monoclonal Antibody [orb559135]
FC, ICC, IF, IHC-Fr, IHC-P, WB
Bovine, Equine, Gallus, Porcine
Human, Mouse, Rat
Rabbit
Recombinant
Unconjugated
50 μl, 100 μlPhospho-PRKCB (Thr642) Rabbit Polyclonal Antibody [orb6754]
FC, IF, IHC-Fr, IHC-P
Mouse, Rat
Human, Mouse, Rat
Rabbit
Polyclonal
Unconjugated
100 μl, 50 μl, 200 μlPKC Polyclonal Antibody [orb1412494]
IF, IHC-P, WB
Human, Mouse, Rat
Rabbit
Polyclonal
Unconjugated
100 μlMouse Prkca Antibody (N-term) [orb1935963]
FC, IHC-P, WB
Rat
Human, Mouse
Rabbit
Polyclonal
Unconjugated
100 μl, 50 μl

Quality Guarantee
Explore bioreagents carefree to elevate your research. All our products are rigorously tested for performance. If a product does not perform as described on its datasheet, our scientific support team will provide expert troubleshooting, a prompt replacement, or a refund. For full details, please see our Terms & Conditions and Buying Guide. Contact us at [email protected].

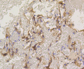
Immunohistochemistry of paraffin-embedded Human lung cancer tissue using PRKCA antibody

Western blot aanalysis of Lane 1-2: Jurkat cells, 293T cellsusing PRKCA antibody

Immunohistochemistry of paraffin-embedded Human liver cancer tissue using PRKCA antibody
Quick Database Links
UniProt Details
−Documents Download
Request a Document
Protocol Information
PRKCA Antibody (orb519380)
Participating in our Biorbyt product reviews program enables you to support fellow scientists by sharing your firsthand experience with our products.
Login to Submit a Review



































