You have no items in your shopping cart.
Description
Research Area
Images & Validation
−| Tested Applications | ELISA, IF, IHC, WB |
|---|---|
| Dilution Range | WB:1:500-2000, IHC-P:1:20-200, IF:1:50-200 |
| Reactivity | Human |
Key Properties
−| Host | Rabbit |
|---|---|
| Clonality | Polyclonal |
| Isotype | IgG |
| Immunogen | Recombinant Human Nuclear inhibitor of protein phosphatase 1 protein (1-209AA) |
| Target | PPP1R8 |
| Purification | Antigen Affinity Purified |
| Conjugation | Unconjugated |
Storage & Handling
−| Storage | Maintain refrigerated at 2-8°C for up to 2 weeks. For long term storage store at -20°C in small aliquots to prevent freeze-thaw cycles. |
|---|---|
| Form/Appearance | Liquid |
| Buffer/Preservatives | PBS with 0.02% sodium azide, 50% glycerol, pH7.3. |
| Expiration Date | 12 months from date of receipt. |
| Disclaimer | For research use only |
Alternative Names
−Similar Products
−NIPP1/PPP1R8 Antibody [orb18573]
ELISA, IHC, WB
Bovine, Canine
Human, Mouse
Goat
Polyclonal
Unconjugated
100 μgNIPP1 rabbit pAb Antibody [orb769582]
ELISA, WB
Human, Mouse, Rat
Polyclonal
Unconjugated
100 μl, 50 μlPPP1R8 Rabbit Polyclonal Antibody [orb577760]
IHC, WB
Bovine, Canine, Equine, Guinea pig, Mouse, Rabbit, Rat, Zebrafish
Human
Rabbit
Polyclonal
Unconjugated
100 μlPPP1R8 Rabbit Polyclonal Antibody [orb577570]
IHC, WB
Bovine, Canine, Equine, Guinea pig, Mouse, Rabbit, Rat, Zebrafish
Human
Rabbit
Polyclonal
Unconjugated
100 μl

Quality Guarantee
Explore bioreagents carefree to elevate your research. All our products are rigorously tested for performance. If a product does not perform as described on its datasheet, our scientific support team will provide expert troubleshooting, a prompt replacement, or a refund. For full details, please see our Terms & Conditions and Buying Guide. Contact us at [email protected].

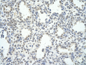
Immunohistochemical staining of human pancreic cancer using PPP1R8 antibody

Western blot analysis of PC-3 whole cell lysate(lane 1), HL60 whole cell lysate(lane 2) using PPP1R8 antibody

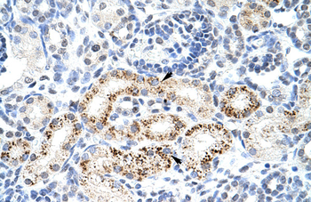
Immunohistochemical staining of human kidney tissue using PPP1R8 antibody

Immunofluorescence analysis of HepG2 cells using PPP1R8 antibody
Quick Database Links
UniProt Details
−Documents Download
Request a Document
Protocol Information
PPP1R8 Antibody (orb40897)
Participating in our Biorbyt product reviews program enables you to support fellow scientists by sharing your firsthand experience with our products.
Login to Submit a Review











