You have no items in your shopping cart.
PLA2G2D Antibody
Description
Research Area
Images & Validation
−| Tested Applications | ELISA, IHC |
|---|---|
| Dilution Range | IHC-P:1:20-1:200 |
| Reactivity | Human |
Key Properties
−| Host | Rabbit |
|---|---|
| Clonality | Polyclonal |
| Isotype | IgG |
| Immunogen | Recombinant Human Group IID secretory phospholipase A2 protein (22-145AA) |
| Target | PLA2G2D |
| Purification | >95%, Protein G purified |
| Conjugation | Unconjugated |
Storage & Handling
−| Storage | Maintain refrigerated at 2-8°C for up to 2 weeks. For long term storage store at -20°C in small aliquots to prevent freeze-thaw cycles. |
|---|---|
| Form/Appearance | Liquid |
| Buffer/Preservatives | Preservative: 0.03% Proclin 300. Constituents: 50% Glycerol |
| Expiration Date | 12 months from date of receipt. |
| Disclaimer | For research use only |
Alternative Names
−Similar Products
−Human Phospholipase A2, Group IID (PLA2G2D) ELISA Kit [orb775618]
Human
0.32-20 ng/mL
0.131 ng/mL
48 T, 96 TMouse Phospholipase A2, Group IID (PLA2G2D) ELISA Kit [orb776579]
Mouse
31.25-2000 pg/mL
13.4 pg/mL
48 T, 96 T

Quality Guarantee
Explore bioreagents carefree to elevate your research. All our products are rigorously tested for performance. If a product does not perform as described on its datasheet, our scientific support team will provide expert troubleshooting, a prompt replacement, or a refund. For full details, please see our Terms & Conditions and Buying Guide. Contact us at [email protected].

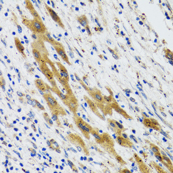
Immunohistochemical staining of human melanoma cancer using Group IID secretory phospholipase A2 antibody

Immunohistochemical staining of human pancreic tissue using Group IID secretory phospholipase A2 antibody

Immunohistochemical staining of human kidney tissue using Group IID secretory phospholipase A2 antibody
Quick Database Links
UniProt Details
−Documents Download
Request a Document
Protocol Information
PLA2G2D Antibody (orb239965)
Participating in our Biorbyt product reviews program enables you to support fellow scientists by sharing your firsthand experience with our products.
Login to Submit a Review










