You have no items in your shopping cart.
PISD Antibody
Description
Research Area
Images & Validation
−| Tested Applications | ELISA, IHC, IP, WB |
|---|---|
| Dilution Range | WB: 1:500-1:2000; IP: 1:200-1:1000; IHC: 1:20-1:200 |
| Reactivity | Human, Mouse, Rat |
Key Properties
−| Antibody Type | Primary Antibody |
|---|---|
| Host | Rabbit |
| Clonality | Polyclonal |
| Isotype | IgG |
| Immunogen | phosphatidylserine decarboxylase |
| Target | PISD |
| Purity | ≥95% as determined by SDS-PAGE |
| Purification | Immunogen affinity purified |
| Conjugation | Unconjugated |
Storage & Handling
−| Storage | Maintain refrigerated at 2-8°C for up to 2 weeks. For long term storage store at -20°C in small aliquots to prevent freeze-thaw cycles. |
|---|---|
| Form/Appearance | liquid |
| Expiration Date | 12 months from date of receipt. |
| Disclaimer | For research use only |
Similar Products
−
Quality Guarantee
Explore bioreagents carefree to elevate your research. All our products are rigorously tested for performance. If a product does not perform as described on its datasheet, our scientific support team will provide expert troubleshooting, a prompt replacement, or a refund. For full details, please see our Terms & Conditions and Buying Guide. Contact us at [email protected].

K-562 cells were subjected to SDS PAGE followed by western blot with orb629942 (PISD antibody) at dilution of 1:300.

IP Result of anti-PISD (IP: orb629942, 3 ug; Detection: orb629942 1:500) with L02 cells lysate 1400 ug.

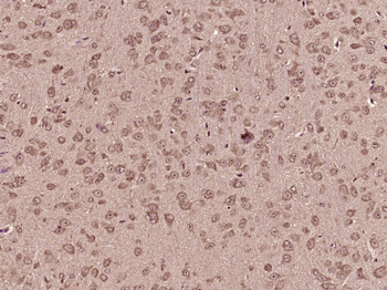
Immunohistochemistry of paraffin-embedded human kidney using orb629942 (PISD antibody) at dilution of 1:100.
Quick Database Links
UniProt Details
−Documents Download
Request a Document
Protocol Information
PISD Antibody (orb629942)
Participating in our Biorbyt product reviews program enables you to support fellow scientists by sharing your firsthand experience with our products.
Login to Submit a Review





