You have no items in your shopping cart.
PGM1 Antibody
Description
Research Area
Images & Validation
−| Tested Applications | ELISA, FC, IF, IHC, IP, WB |
|---|---|
| Dilution range | WB: 1:500-1:2000; IP: 1:200-1:1000; IHC: 1:20-1:200; IF: 1:20-1:200 |
| Reactivity | Human, Mouse, Rat |
Key Properties
−| Antibody Type | Primary Antibody |
|---|---|
| Host | Rabbit |
| Clonality | Polyclonal |
| Isotype | IgG |
| Immunogen | phosphoglucomutase 1 |
| Target | PGM1 |
| Purity | ≥95% as determined by SDS-PAGE |
| Purification | Immunogen affinity purified |
| Conjugation | Unconjugated |
Storage & Handling
−| Storage | Maintain refrigerated at 2-8°C for up to 2 weeks. For long term storage store at -20°C in small aliquots to prevent freeze-thaw cycles. |
|---|---|
| Form/Appearance | liquid |
| Disclaimer | For research use only |
Similar Products
−PGM1 Antibody (C-Term) [orb1926298]
IHC-P, WB
Human, Mouse, Rat
Rabbit
Polyclonal
Unconjugated
100 μl, 50 μlPGM1 Antibody (Center) [orb1925951]
IHC-P, WB
Rabbit, Rat
Human, Mouse, Rat
Rabbit
Polyclonal
Unconjugated
100 μl, 50 μl

Quality Guarantee
Explore bioreagents carefree to elevate your research. All our products are rigorously tested for performance. If a product does not perform as described on its datasheet, our scientific support team will provide expert troubleshooting, a prompt replacement, or a refund. For full details, please see our Terms & Conditions and Buying Guide. Contact us at [email protected].

mouse heart tissue were subjected to SDS PAGE followed by western blot with orb629852 (PGM1 antibody) at dilution of 1:1000.

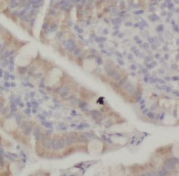
IP Result of anti-PGM1 (IP: orb629852, 4 ug; Detection: orb629852 1:1000) with mouse skin tissue lysate 3200 ug.

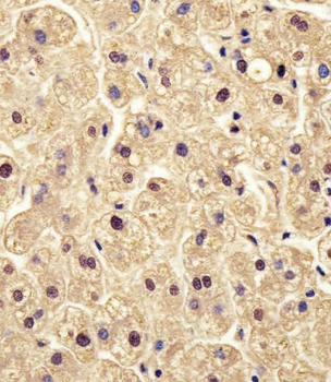
Immunohistochemistry of paraffin-embedded human testis using orb629852 (PGM1 antibody) at dilution of 1:100.
Quick Database Links
UniProt Details
−Documents Download
Request a Document
Protocol Information
PGM1 Antibody (orb629852)
Participating in our Biorbyt product reviews program enables you to support fellow scientists by sharing your firsthand experience with our products.
Login to Submit a Review













