You have no items in your shopping cart.
PELP1 Rabbit mAb Antibody
Description
Images & Validation
−| Tested Applications | FC, ICC, IHC, WB |
|---|---|
| Reactivity | Human |
Key Properties
−| Antibody Type | Recombinant Antibody |
|---|---|
| Host | Rabbit |
| Clonality | Monoclonal |
| Conjugation | Unconjugated |
Storage & Handling
−| Storage | Maintain refrigerated at 2-8°C for up to 2 weeks. For long term storage store at -20°C in small aliquots to prevent freeze-thaw cycles. |
|---|---|
| Expiration Date | 12 months from date of receipt. |
| Disclaimer | For research use only |
Similar Products
−Recombinant PELP1 Rabbit mAb Antibody [orb3072917]
WB
Human, Rat
Rabbit
Monoclonal
Unconjugated
30 μl, 50 μl, 200 μl, 100 μlPELP1 Rabbit mAb Antibody [orb3014312]
ICC, IHC-Fr, IHC-P, WB
Human
Rabbit
Monoclonal
Unconjugated
100 μl

Quality Guarantee
Explore bioreagents carefree to elevate your research. All our products are rigorously tested for performance. If a product does not perform as described on its datasheet, our scientific support team will provide expert troubleshooting, a prompt replacement, or a refund. For full details, please see our Terms & Conditions and Buying Guide. Contact us at [email protected].

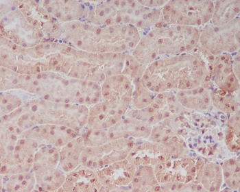
Immunohistochemical analysis of paraffin-embedded mouse kidney, using PELP1 Antibody.

Western blot analysis of PELP1 expression in 293T cell lysate.
Quick Database Links
UniProt Details
−Documents Download
Request a Document
Protocol Information
PELP1 Rabbit mAb Antibody (orb1727617)
Participating in our Biorbyt product reviews program enables you to support fellow scientists by sharing your firsthand experience with our products.
Login to Submit a Review