You have no items in your shopping cart.
PCED1A Rabbit Polyclonal Antibody
Description
Research Area
Images & Validation
−| Tested Applications | WB |
|---|---|
| Reactivity | Human |
| Predicted Reactivity | Human |
Key Properties
−| Host | Rabbit |
|---|---|
| Clonality | Polyclonal |
| Immunogen | The immunogen is a synthetic peptide directed towards the middle region of human FAM113A |
| Target | PCED1A |
| Protein Sequence | Synthetic peptide located within the following region: VVEGNFYSATLAGDHCFDVLDLHFHFRHAVQHRHRDGVHWDQHAHRHLSH |
| Molecular Weight | 44 kDa |
| Purification | Affinity purified |
| Conjugation | Unconjugated |
Storage & Handling
−| Storage | Maintain refrigerated at 2-8°C for up to 2 weeks. For long term storage store at -20°C in small aliquots to prevent freeze-thaw cycles. |
|---|---|
| Buffer/Preservatives | Liquid. Purified antibody supplied in 1x PBS buffer with 0.09% (w/v) sodium azide and 2% sucrose. |
| Concentration | 0.5 mg/ml |
| Expiration Date | 12 months from date of receipt. |
| Disclaimer | For research use only |
Alternative Names
−Similar Products
−FAM113A Polyclonal Antibody [orb1416718]
ELISA, IF, IHC-Fr, IHC-P, WB
Porcine, Rat
Rabbit
Polyclonal
Unconjugated
100 μlFAM113A Rabbit Polyclonal Antibody (Biotin) [orb445997]
IF, IHC-Fr, IHC-P
Canine, Equine, Mouse, Porcine, Rabbit
Human, Rat
Rabbit
Polyclonal
Biotin
100 μlFAM113A Rabbit Polyclonal Antibody (HRP) [orb481288]
IHC-Fr, IHC-P
Canine, Equine, Mouse, Porcine, Rabbit
Human, Rat
Rabbit
Polyclonal
HRP
100 μlFAM113A Rabbit Polyclonal Antibody (FITC) [orb4294]
IF
Canine, Equine, Mouse, Porcine, Rabbit
Human, Rat
Rabbit
Polyclonal
FITC
100 μlFAM113A Rabbit Polyclonal Antibody (PE) [orb497161]
IF
Canine, Equine, Mouse, Porcine, Rabbit
Human, Rat
Rabbit
Polyclonal
PE
100 μl

Quality Guarantee
Explore bioreagents carefree to elevate your research. All our products are rigorously tested for performance. If a product does not perform as described on its datasheet, our scientific support team will provide expert troubleshooting, a prompt replacement, or a refund. For full details, please see our Terms & Conditions and Buying Guide. Contact us at [email protected].

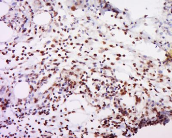
Sample Tissue: Human Stomach Tumor lysates, Antibody Dilution: 1 ug/ml.
Quick Database Links
UniProt Details
−NCBI Reference Sequences
−| Protein | NP_001258097.1 |
|---|
Documents Download
Request a Document
PCED1A Rabbit Polyclonal Antibody (orb589464)
Participating in our Biorbyt product reviews program enables you to support fellow scientists by sharing your firsthand experience with our products.
Login to Submit a Review

