You have no items in your shopping cart.
Description
Research Area
Images & Validation
−| Tested Applications | ELISA, IF, IHC |
|---|---|
| Dilution Range | IHC-P:1:500-1000, IF:1:200-500 |
| Reactivity | Human |
Key Properties
−| Host | Rabbit |
|---|---|
| Clonality | Polyclonal |
| Isotype | IgG |
| Immunogen | Recombinant Human Platelet-activating factor acetylhydrolase IB subunit gamma protein (103-187AA) |
| Target | PAFAH1B3 |
| Purification | >95%, Protein G purified |
| Conjugation | Unconjugated |
Storage & Handling
−| Storage | Maintain refrigerated at 2-8°C for up to 2 weeks. For long term storage store at -20°C in small aliquots to prevent freeze-thaw cycles. |
|---|---|
| Form/Appearance | Liquid |
| Buffer/Preservatives | Preservative: 0.03% Proclin 300. Constituents: 50% Glycerol |
| Expiration Date | 12 months from date of receipt. |
| Disclaimer | For research use only |
Alternative Names
−Similar Products
−PAFAHG Rabbit Polyclonal Antibody [orb1110]
IF, IHC-Fr, IHC-P
Bovine, Canine, Equine, Human, Porcine, Rabbit, Sheep
Mouse, Rat
Rabbit
Polyclonal
Unconjugated
100 μl, 200 μl, 50 μlPAFAH1B3 Rabbit Polyclonal Antibody [orb629629]
ELISA, IHC, WB
Human, Mouse, Rat
Rabbit
Polyclonal
Unconjugated
50 μg, 100 μgPAFAH1B3 Antibody [orb1317314]
IHC, WB
Human, Mouse, Rat
Mouse
Monoclonal
Unconjugated
50 μl, 30 μl, 100 μl

Quality Guarantee
Explore bioreagents carefree to elevate your research. All our products are rigorously tested for performance. If a product does not perform as described on its datasheet, our scientific support team will provide expert troubleshooting, a prompt replacement, or a refund. For full details, please see our Terms & Conditions and Buying Guide. Contact us at [email protected].

Immunofluorescence staining of A549 cells using PAFAH1B3 antibody

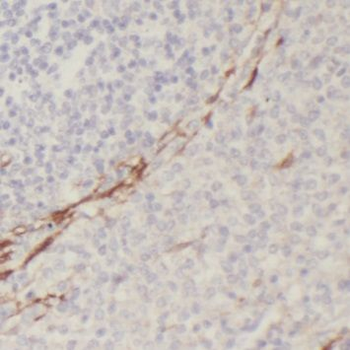
Immunohistochemistry of paraffin-embedded human pancreatic cancer tissue using PAFAH1B3 antibody

Immunohistochemistry of paraffin-embedded human liver tissue using PAFAH1B3 antibody
Quick Database Links
UniProt Details
−Documents Download
Request a Document
Protocol Information
PAFAH1B3 Antibody (orb417099)
Participating in our Biorbyt product reviews program enables you to support fellow scientists by sharing your firsthand experience with our products.
Login to Submit a Review





