You have no items in your shopping cart.
NXF3 Rabbit Polyclonal Antibody
Description
Research Area
Images & Validation
−| Tested Applications | IHC, WB |
|---|---|
| Reactivity | Human |
| Predicted Reactivity | Bovine, Canine, Equine, Guinea pig, Porcine, Rabbit, Rat |
Key Properties
−| Host | Rabbit |
|---|---|
| Clonality | Polyclonal |
| Immunogen | The immunogen is a synthetic peptide directed towards the C terminal region of human NXF3 |
| Target | NXF3 |
| Protein Sequence | Synthetic peptide located within the following region: SSFLVDMWYQTEWMLCFSVNGVFKEVEGQSQGSVLAFTRTFIATPGSSSS |
| Molecular Weight | 58kDa |
| Purification | Protein A purified |
| Conjugation | Unconjugated |
Storage & Handling
−| Storage | Maintain refrigerated at 2-8°C for up to 2 weeks. For long term storage store at -20°C in small aliquots to prevent freeze-thaw cycles. |
|---|---|
| Buffer/Preservatives | Liquid. Purified antibody supplied in 1x PBS buffer with 0.09% (w/v) sodium azide and 2% sucrose. |
| Concentration | 1.0 mg/ml |
| Expiration Date | 12 months from date of receipt. |
| Disclaimer | For research use only |
Similar Products
−NXF3 Rabbit Polyclonal Antibody [orb319025]
IHC, WB
Human
Rabbit
Polyclonal
Unconjugated
30 μl, 100 μl, 200 μl, 50 μlNXF3 Rabbit Polyclonal Antibody [orb629493]
ELISA, IHC
Human
Rabbit
Polyclonal
Unconjugated
50 μg, 100 μg

Quality Guarantee
Explore bioreagents carefree to elevate your research. All our products are rigorously tested for performance. If a product does not perform as described on its datasheet, our scientific support team will provide expert troubleshooting, a prompt replacement, or a refund. For full details, please see our Terms & Conditions and Buying Guide. Contact us at [email protected].

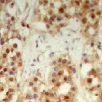
Rabbit Anti-NXF3 Antibody, Paraffin Embedded Tissue: Human Heart, Cellular Data: Myocardial cells, Antibody Concentration: 4.0-8.0 ug/ml, Magnification: 400X.

Rabbit Anti-NXF3 Antibody, Paraffin Embedded Tissue: Human Kidney, Cellular Data: Epithelial cells of renal tubule, Antibody Concentration: 4.0-8.0 ug/ml, Magnification: 400X.

WB Suggested Anti-NXF3 Antibody Titration: 1.25 ug/ml, Positive Control: RPMI 8226 cell lysate. NXF3 is supported by BioGPS gene expression data to be expressed in RPMI 8226.
Documents Download
Request a Document
Protocol Information
NXF3 Rabbit Polyclonal Antibody (orb577814)
Participating in our Biorbyt product reviews program enables you to support fellow scientists by sharing your firsthand experience with our products.
Login to Submit a Review






