You have no items in your shopping cart.
Description
Research Area
Images & Validation
−| Tested Applications | IHC-P, WB |
|---|---|
| Reactivity | Human, Mouse |
| Application Notes |
Key Properties
−| Antibody Type | Primary Antibody |
|---|---|
| Host | Rabbit |
| Clonality | Polyclonal |
| Isotype | Rabbit Ig |
| Immunogen | This NPAL3 antibody is generated from rabbits immunized with a KLH conjugated synthetic peptide between 45-74 amino acids from the N-terminal region of human NPAL3. |
| Target | NIPAL3 |
| Molecular Weight | 45 kDa |
| Purification | This antibody is purified through a protein A column, followed by peptide affinity purification. |
| Conjugation | Unconjugated |
Storage & Handling
−| Storage | Maintain refrigerated at 2-8°C for up to 2 weeks. For long term storage store at -20°C in small aliquots to prevent freeze-thaw cycles. |
|---|---|
| Form/Appearance | Liquid |
| Buffer/Preservatives | Supplied in PBS with 0.09% (W/V) sodium azide. |
| Concentration | batch dependent |
| Expiration Date | 12 months from date of receipt. |
| Disclaimer | For research use only |
Alternative Names
−Similar Products
−NIPAL3 Rabbit Polyclonal Antibody [orb580763]
WB
Bovine, Canine, Equine, Mouse, Porcine
Human
Rabbit
Polyclonal
Unconjugated
100 μlNIPAL3 Rabbit Polyclonal Antibody [orb2926]
WB
Bovine, Equine, Mouse, Porcine, Rabbit, Rat, Sheep
Human
Rabbit
Polyclonal
Unconjugated
50 μl, 100 μl, 200 μlNIPAL3 Rabbit Polyclonal Antibody (HRP) [orb2113022]
WB
Bovine, Canine, Equine, Human, Mouse, Porcine
Rabbit
Polyclonal
HRP
100 μlNIPAL3 Rabbit Polyclonal Antibody (FITC) [orb2113023]
WB
Bovine, Canine, Equine, Human, Mouse, Porcine
Rabbit
Polyclonal
FITC
100 μl

Quality Guarantee
Explore bioreagents carefree to elevate your research. All our products are rigorously tested for performance. If a product does not perform as described on its datasheet, our scientific support team will provide expert troubleshooting, a prompt replacement, or a refund. For full details, please see our Terms & Conditions and Buying Guide. Contact us at [email protected].

Western blot analysis in mouse liver tissue lysates (35 ug/lane).This demonstrates the detected NPAL3 protein (arrow).

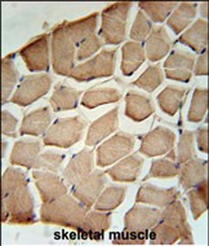
NPAL3 Antibody immunohistochemistry analysis in formalin fixed and paraffin embedded human skeletal muscle followed by peroxidase conjugation of the secondary antibody and DAB staining.
Documents Download
Request a Document
Protocol Information
NIPAL3 Antibody (orb1264231)
Participating in our Biorbyt product reviews program enables you to support fellow scientists by sharing your firsthand experience with our products.
Login to Submit a Review



