You have no items in your shopping cart.
Myoglobin Rabbit mAb Antibody
Description
Images & Validation
−| Tested Applications | ICC, IHC, IP, WB |
|---|---|
| Reactivity | Human, Mouse, Rat |
Key Properties
−| Antibody Type | Recombinant Antibody |
|---|---|
| Host | Rabbit |
| Clonality | Monoclonal |
| Conjugation | Unconjugated |
Storage & Handling
−| Storage | Maintain refrigerated at 2-8°C for up to 2 weeks. For long term storage store at -20°C in small aliquots to prevent freeze-thaw cycles. |
|---|---|
| Expiration Date | 12 months from date of receipt. |
| Disclaimer | For research use only |
Similar Products
−MB | Myoglobin Recombinant Rabbit mAb, HRP conjugated [orb3000036]
IHC-Fr, WB
Human, Mouse, Rat
Rabbit
Recombinant
HRP
100 μlMB | Myoglobin Recombinant Rabbit mAb, IRDye 800CW conjugated [orb3000037]
WB
Human, Mouse, Rat
Rabbit
Recombinant
IRDye800
100 μlMB | Myoglobin Recombinant Rabbit mAb, Biotin conjugated [orb3000038]
IHC-Fr, WB
Human, Mouse, Rat
Rabbit
Recombinant
Biotin
100 μlMB | Myoglobin Recombinant Rabbit mAb, BF700 conjugated [orb3000034]
IF
Human, Mouse, Rat
Rabbit
Recombinant
BF700
100 μlMB | Myoglobin Recombinant Rabbit mAb, AP conjugated [orb3000035]
IHC-Fr, WB
Human, Mouse, Rat
Rabbit
Recombinant
AP
100 μl

Quality Guarantee
Explore bioreagents carefree to elevate your research. All our products are rigorously tested for performance. If a product does not perform as described on its datasheet, our scientific support team will provide expert troubleshooting, a prompt replacement, or a refund. For full details, please see our Terms & Conditions and Buying Guide. Contact us at [email protected].

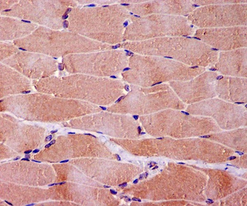
Immunohistochemical analysis of paraffin-embedded human skeletal muscle, using Myoglobin Antibody.

Western blot analysis of Myoglobin expression in Human heart muscle lysate.
Quick Database Links
UniProt Details
−Documents Download
Request a Document
Protocol Information
Myoglobin Rabbit mAb Antibody (orb1951588)
Participating in our Biorbyt product reviews program enables you to support fellow scientists by sharing your firsthand experience with our products.
Login to Submit a Review