You have no items in your shopping cart.
Map2k4 Antibody
Description
Research Area
Images & Validation
−| Tested Applications | IHC-P, WB |
|---|---|
| Reactivity | Human, Mouse, Zebrafish |
| Predicted Reactivity | Xenopus |
| Application Notes |
Key Properties
−| Antibody Type | Primary Antibody |
|---|---|
| Host | Rabbit |
| Clonality | Polyclonal |
| Isotype | Rabbit Ig |
| Immunogen | This Mouse Map2k4 antibody is generated from rabbits immunized with a KLH conjugated synthetic peptide between 259-287 amino acids from the C-terminal region of mouse Map2k4. |
| Target | Map2k4 |
| Molecular Weight | 44 kDa |
| Purification | This antibody is purified through a protein A column, followed by peptide affinity purification. |
| Conjugation | Unconjugated |
Storage & Handling
−| Storage | Maintain refrigerated at 2-8°C for up to 2 weeks. For long term storage store at -20°C in small aliquots to prevent freeze-thaw cycles. |
|---|---|
| Form/Appearance | Liquid |
| Buffer/Preservatives | Supplied in PBS with 0.09% (W/V) sodium azide. |
| Concentration | batch dependent |
| Expiration Date | 12 months from date of receipt. |
| Disclaimer | For research use only |
Alternative Names
−Similar Products
−Mouse Map2k4 Antibody (C-term) [orb1935359]
IHC-P, WB
Xenopus
Human, Mouse, Zebrafish
Rabbit
Polyclonal
Unconjugated
100 μl, 50 μlMEK-4 rabbit pAb Antibody [orb765649]
ELISA, IHC, WB
Human, Mouse, Rat
Polyclonal
Unconjugated
50 μl, 100 μlMEK4 (MAP2K4) Antibody (S257) [orb1928767]
IHC-P, WB
Mouse, Xenopus
Human
Rabbit
Polyclonal
Unconjugated
100 μl, 50 μlPhospho-SEK1/MKK4 (Ser257) (C5) rabbit mAb Antibody [orb1946068]
FC, WB
Human, Monkey, Mouse
Rabbit
Monoclonal
Unconjugated
200 μl, 20 μl

Quality Guarantee
Explore bioreagents carefree to elevate your research. All our products are rigorously tested for performance. If a product does not perform as described on its datasheet, our scientific support team will provide expert troubleshooting, a prompt replacement, or a refund. For full details, please see our Terms & Conditions and Buying Guide. Contact us at [email protected].

Western blot analysis in mouse NIH-3T3 cell line lysates (35 ug/lane).

Western blot analysis in Y79 cell line lysates (35 ug/lane).

Western blot analysis in zebra fish brain tissue lysates (35 ug/lane). This demonstrates the detected the Mouse Map2k4 protein (arrow).

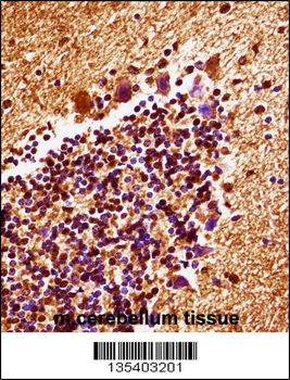
Mouse Map2k4 Antibody immunohistochemistry analysis in formalin fixed and paraffin embedded mouse cerebellum tissue followed by peroxidase conjugation of the secondary antibody and DAB staining.
Documents Download
Request a Document
Protocol Information
Map2k4 Antibody (orb1267944)
Participating in our Biorbyt product reviews program enables you to support fellow scientists by sharing your firsthand experience with our products.
Login to Submit a Review
















