You have no items in your shopping cart.
Mouse Human IgG1 Antibody
Description
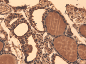
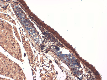
Images & Validation
−
| Tested Applications | ELISA, IHC, WB |
|---|---|
| Dilution range | E: 1:5000-1:20000, WB: 1:5000-1:20000, IH: 1:500-1:1000 |
| Reactivity | Human |
Key Properties
−| Antibody Type | Secondary Antibody |
|---|---|
| Host | Mouse |
| Clonality | Monoclonal |
| Immunogen | Human IgG1 |
| Purification | The antibody was isolated from ascitic by immunoaffinity chromatography using antigens coupled to agarose beads. |
| Conjugation | Unconjugated |
Storage & Handling
−| Storage | Maintain refrigerated at 2-8°C for up to 2 weeks. For long term storage store at -20°C in small aliquots to prevent freeze-thaw cycles. |
|---|---|
| Form/Appearance | 1 mg/ml. Liquid in 0.01M Phosphate Buffered Saline, pH 7.2, 0.05% Sodium Azide |
| Disclaimer | For research use only |
Similar Products
−HSP70 Antibody [orb54767]
FACS, FC, ICC, IF, WB
Bovine, Human, Mouse, Porcine, Rat
Mouse
Monoclonal
Unconjugated
100 μgSodium Iodide Symporter Antibody [orb67479]
AM, ICC, IF, IHC, WB
Human, Mouse, Rat
Mouse
Monoclonal
Unconjugated
100 μgSodium Iodide Symporter Antibody [orb67478]
AM, IHC, WB
Human, Mouse, Rat
Mouse
Monoclonal
Unconjugated
100 μgNav1.7 Antibody [orb67404]
AM, ICC, IF, IHC, IP, WB
Hamster, Human, Mouse, Rat
Mouse
Monoclonal
Unconjugated
100 μgKCNQ1 Antibody [orb67397]
AM, ICC, IF, IHC, IP, WB
Hamster, Human, Mouse, Rat
Mouse
Monoclonal
Unconjugated
100 μg

Quality Guarantee
Explore bioreagents carefree to elevate your research. All our products are rigorously tested for performance. If a product does not perform as described on its datasheet, our scientific support team will provide expert troubleshooting, a prompt replacement, or a refund. For full details, please see our Terms & Conditions and Buying Guide. Contact us at [email protected].
Quick Database Links
Documents Download
Request a Document
Protocol Information
Mouse Human IgG1 Antibody (orb1289701)
Participating in our Biorbyt product reviews program enables you to support fellow scientists by sharing your firsthand experience with our products.
Login to Submit a Review
























