You have no items in your shopping cart.
MIF Antibody
Description
Research Area
Images & Validation
−| Tested Applications | IHC, WB |
|---|---|
| Reactivity | Human |
Key Properties
−| Antibody Type | Inhibitor Antibody |
|---|---|
| Host | Mouse |
| Clonality | Monoclonal |
| Isotype | IgG2b |
| Clone No. | MIF/3490 |
| Immunogen | Recombinant fragment of human MIF protein (exact sequence is proprietary) |
| Target | MIF |
| Source/Expression System | Bioreactor |
| Molecular Weight | ~13kDa |
| Purification | Protein A |
| Conjugation | Unconjugated |
Storage & Handling
−| Storage | Maintain refrigerated at 2-8°C for up to 2 weeks. For long term storage store at -20°C in small aliquots to prevent freeze-thaw cycles. |
|---|---|
| Form/Appearance | 200ug/ml of Ab purified from Bioreactor Concentrate by Protein A/G. Prepared in 10mM PBS with0.05% rAlbumin & 0.05% azide. Also available WITHOUT rAlbumin & azide at 1.0mg/ml. |
| Expiration Date | 12 months from date of receipt. |
| Disclaimer | For research use only |
Alternative Names
−Similar Products
−MIF antibody [orb11051]
ICC, IF, IHC-P, WB
Human, Mouse, Rat
Rabbit
Polyclonal
Unconjugated
20 μg (trial size), 100 μgMIF Antibody [orb239634]
ELISA, IF, IHC, WB
Human, Mouse, Rat
Rabbit
Polyclonal
Unconjugated
50 μg, 100 μgSUMO3 Antibody [orb388659]
FC, IF, IHC
Human, Rat
Mouse
Monoclonal
Unconjugated
100 μg, 100 μg (without BSA and Azide), 20 μgS100-A8/A9 Rabbit Polyclonal Antibody [orb1974705]
IF, IHC-Fr, IHC-P, WB
Rat
Human, Rat
Rabbit
Polyclonal
Unconjugated
50 μl, 100 μl, 200 μlSUMO1 Antibody [orb388769]
FC, IF, IHC, WB
Human, Rat
Mouse
Monoclonal
Unconjugated
20 μg, 100 μg, 100 μg (without BSA and Azide)

Quality Guarantee
Explore bioreagents carefree to elevate your research. All our products are rigorously tested for performance. If a product does not perform as described on its datasheet, our scientific support team will provide expert troubleshooting, a prompt replacement, or a refund. For full details, please see our Terms & Conditions and Buying Guide. Contact us at [email protected].

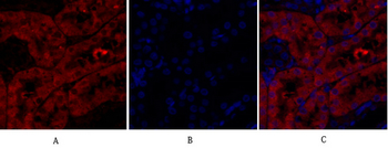
Formalin-fixed, paraffin-embedded humanprostate stained with MIF Mouse Monoclonal Antibody (MIF/3490). Inset: PBS instead of primary antibody; secondary only negative control.

Western blot analysis of LNCaP and PC3 cell lysates using MIF Mouse Monoclonal Antibody (MIF/3490).

Western blot analysis of LNCaP and PC3 cell lysates using MIF Mouse Monoclonal Antibody (MIF/3490).
Quick Database Links
UniProt Details
−Documents Download
Request a Document
Protocol Information
MIF Antibody (orb1410095)
Participating in our Biorbyt product reviews program enables you to support fellow scientists by sharing your firsthand experience with our products.
Login to Submit a Review




























