You have no items in your shopping cart.
Description
Research Area
Images & Validation
−| Tested Applications | ELISA, IHC-P, WB |
|---|---|
| Reactivity | Human, Mouse |
| Application Notes |
Key Properties
−| Antibody Type | Primary Antibody |
|---|---|
| Host | Rabbit |
| Clonality | Polyclonal |
| Isotype | IgG |
| Immunogen | MettL7B antibody was raised against a 13 amino acid synthetic peptide near the amino terminus of human MettL7B.The immunogen is located within amino acids 20 - 70 of MettL7B. |
| Target | METTL7B |
| Molecular Weight | Predicted: 27 kDa Observed: 27 kDa |
| Purification | MettL7B Antibody is affinity chromatography purified via peptide column. |
| Conjugation | Unconjugated |
Storage & Handling
−| Storage | Maintain refrigerated at 2-8°C for up to 2 weeks. For long term storage store at -20°C in small aliquots to prevent freeze-thaw cycles. |
|---|---|
| Form/Appearance | Liquid |
| Buffer/Preservatives | MettL7B Antibody is supplied in PBS containing 0.02% sodium azide. |
| Concentration | 1 mg/mL |
| Expiration Date | 12 months from date of receipt. |
| Disclaimer | For research use only |
Alternative Names
−Similar Products
−METTL7B Antibody (N-term) [orb1933519]
WB
Rat
Human, Mouse, Rat
Rabbit
Polyclonal
Unconjugated
100 μl, 50 μlTMT1B Rabbit Polyclonal Antibody [orb628770]
ELISA, IHC, WB
Human, Mouse, Rat
Rabbit
Polyclonal
Unconjugated
50 μg, 100 μgMETTL7B Rabbit Polyclonal Antibody [orb667271]
IF, WB
Human, Mouse, Rat
Rabbit
Polyclonal
Unconjugated
50 μl, 100 μl, 200 μl, 30 μlMETTL7B Antibody [orb1538176]
ELISA, IHC, IHC-P, WB
Human, Mouse, Rat
Rabbit
Polyclonal
Unconjugated
0.05 mg

Quality Guarantee
Explore bioreagents carefree to elevate your research. All our products are rigorously tested for performance. If a product does not perform as described on its datasheet, our scientific support team will provide expert troubleshooting, a prompt replacement, or a refund. For full details, please see our Terms & Conditions and Buying Guide. Contact us at [email protected].

Western blot analysis of MettL7B in human colon tissue lysate with MettL7B antibody at (A) 1 and (B) 2 µg/mL.

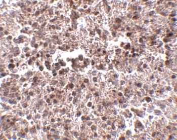
Immunohistochemistry of MettL7B in human spleen tissue with MettL7B antibody at 2.5 µg/mL.
Documents Download
Request a Document
Protocol Information
METTL7B Antibody (orb1239444)
Participating in our Biorbyt product reviews program enables you to support fellow scientists by sharing your firsthand experience with our products.
Login to Submit a Review








