You have no items in your shopping cart.
MAP4 Rabbit Polyclonal Antibody
Description
Research Area
Images & Validation
−| Tested Applications | ELISA, IHC, IP, WB |
|---|---|
| Dilution Range | WB: 1:200-1:2000; IP: 1:500-1:2000; IHC: 1:50-1:500 |
| Reactivity | Human, Mouse, Rat |
Key Properties
−| Antibody Type | Primary Antibody |
|---|---|
| Host | Rabbit |
| Clonality | Polyclonal |
| Isotype | IgG |
| Immunogen | microtubule-associated protein 4 |
| Target | MAP4 |
| Molecular Weight | 210 kDa |
| Purity | ≥95% as determined by SDS-PAGE |
| Purification | Immunogen affinity purified |
| Conjugation | Unconjugated |
Storage & Handling
−| Storage | Maintain refrigerated at 2-8°C for up to 2 weeks. For long term storage store at -20°C in small aliquots to prevent freeze-thaw cycles. |
|---|---|
| Form/Appearance | liquid |
| Expiration Date | 12 months from date of receipt. |
| Disclaimer | For research use only |
Alternative Names
−Similar Products
−MAP4 Rabbit Polyclonal Antibody [orb6372]
WB
Bovine, Canine, Equine, Porcine, Rat
Human, Mouse
Rabbit
Polyclonal
Unconjugated
100 μl, 200 μl, 50 μlMAP-4 rabbit pAb Antibody [orb769046]
ELISA, IF, IHC
Human, Mouse, Rat
Polyclonal
Unconjugated
50 μl, 100 μl

Quality Guarantee
Explore bioreagents carefree to elevate your research. All our products are rigorously tested for performance. If a product does not perform as described on its datasheet, our scientific support team will provide expert troubleshooting, a prompt replacement, or a refund. For full details, please see our Terms & Conditions and Buying Guide. Contact us at [email protected].

HEK-293 cells were subjected to SDS PAGE followed by western blot with orb628624 (MAP4 Antibody) at dilution of 1:600.

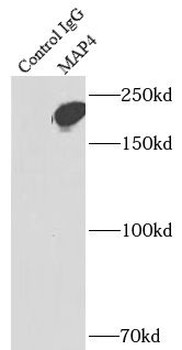
IP Result of anti-MAP4 (IP: orb628624, 4 ug; Detection: orb628624 1:1000) with HEK-293 cells lysate 1200 ug.

Immunohistochemistry of paraffin-embedded human oesophagus cancer tissue slide using orb628624 (MAP4 Antibody) at dilution of 1:200 heat mediated antigen retrieved with Tris-EDTA buffer (pH9).
Quick Database Links
UniProt Details
−Documents Download
Request a Document
Protocol Information
MAP4 Rabbit Polyclonal Antibody (orb628624)
Participating in our Biorbyt product reviews program enables you to support fellow scientists by sharing your firsthand experience with our products.
Login to Submit a Review








