You have no items in your shopping cart.
Description
Research Area
Images & Validation
−| Tested Applications | IHC-P |
|---|---|
| Dilution Range | Immunohistochemistry (FFPE): 1-2ug/ml for 30 min at RT |
| Reactivity | Human |
| Application Notes |
Key Properties
−| Antibody Type | Primary Antibody |
|---|---|
| Host | Mouse |
| Clonality | Monoclonal |
| Isotype | Mouse IgG2a, kappa |
| Clone No. | MAML2/1302 |
| Immunogen | A human recombinant full length protein was used as the immunogen for this MAML2 antibody. |
| Purification | Protein G affinity chromatography |
| Conjugation | Unconjugated |
Storage & Handling
−| Storage | Maintain refrigerated at 2-8°C for up to 2 weeks. For long term storage store at -20°C in small aliquots to prevent freeze-thaw cycles. |
|---|---|
| Buffer/Preservatives | 0.2 mg/ml in 1X PBS with 0.1 mg/ml rAlbumin and 0.05% sodium azide |
| Expiration Date | 12 months from date of receipt. |
| Disclaimer | For research use only |
Similar Products
−Phospho-CRTC1 (Ser151) Rabbit Polyclonal Antibody [orb5568]
FC, IF, IHC-Fr, IHC-P
Bovine, Canine, Equine, Gallus, Mouse, Porcine, Rabbit, Rat
Human
Rabbit
Polyclonal
Unconjugated
100 μl, 200 μl, 50 μlMAML2 Antibody [orb388805]
FC, IF, IHC, WB
Human
Mouse
Monoclonal
Unconjugated
20 μg, 100 μg, 100 μg (without BSA and Azide)Rabbit TORC1 Antibody [orb1529671]
IHC, IP, WB
Rat
Human, Mouse
Rabbit
Polyclonal
Unconjugated
100 μl, 10 μl

Quality Guarantee
Explore bioreagents carefree to elevate your research. All our products are rigorously tested for performance. If a product does not perform as described on its datasheet, our scientific support team will provide expert troubleshooting, a prompt replacement, or a refund. For full details, please see our Terms & Conditions and Buying Guide. Contact us at [email protected].

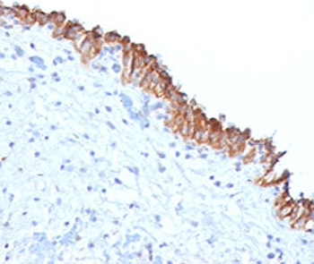
IHC testing of FFPE human pancreas tissue with MAML2 antibody (clone MAML2/1302). Staining of FFPE tissue requires boiling sections in 10mM Tris with 1mM EDTA, pH9, for 10-20 min followed by cooling at RT for 20 min.

IHC testing of FFPE human colon carcinoma with MAML2 antibody (clone MAML2/1302). Staining of FFPE tissue requires boiling sections in 10mM Tris with 1mM EDTA, pH9, for 10-20 min followed by cooling at RT for 20 min.

IHC testing of FFPE human bladder carcinoma with MAML2 antibody (clone MAML2/1302). Staining of FFPE tissue requires boiling sections in 10mM Tris with 1mM EDTA, pH9, for 10-20 min followed by cooling at RT for 20 min.

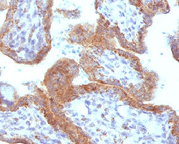
IHC testing of FFPE human placental tissue with MAML2 antibody (clone MAML2/1302). Staining of FFPE tissue requires boiling sections in 10mM Tris with 1mM EDTA, pH9, for 10-20 min followed by cooling at RT for 20 min.

SDS-PAGE Analysis of Purified, BSA-Free MAML2 Antibody (clone MAML2/1302). Confirmation of Integrity and Purity of the Antibody.
Documents Download
Request a Document
MAML2 Antibody (orb606363)
Participating in our Biorbyt product reviews program enables you to support fellow scientists by sharing your firsthand experience with our products.
Login to Submit a Review




















