You have no items in your shopping cart.
LIMA1 Rabbit Polyclonal Antibody
Description
Images & Validation
−| Tested Applications | ELISA, IF, IHC, IP, WB |
|---|---|
| Dilution Range | WB: 1:500-1:2000; IP: 1:500-1:1000; IHC: 1:20-1:200; IF: 1:10-1:100 |
| Reactivity | Human, Mouse, Rat |
Key Properties
−| Antibody Type | Primary Antibody |
|---|---|
| Host | Rabbit |
| Clonality | Polyclonal |
| Isotype | IgG |
| Immunogen | LIM domain and actin binding 1 |
| Target | LIMA1 |
| Molecular Weight | 90kd, 110kd |
| Purity | ≥95% as determined by SDS-PAGE |
| Purification | Immunogen affinity purified |
| Conjugation | Unconjugated |
Storage & Handling
−| Storage | Maintain refrigerated at 2-8°C for up to 2 weeks. For long term storage store at -20°C in small aliquots to prevent freeze-thaw cycles. |
|---|---|
| Form/Appearance | liquid |
| Expiration Date | 12 months from date of receipt. |
| Disclaimer | For research use only |
Similar Products
−EPLIN/LIMA1 Rabbit Polyclonal Antibody [orb1291738]
ELISA, FC, ICC, IF, IHC, WB
Human
Rabbit
Polyclonal
Unconjugated
100 μgLIMA1 Rabbit Polyclonal Antibody [orb575278]
WB
Equine, Mouse, Rabbit, Rat
Human
Rabbit
Polyclonal
Unconjugated
100 μlLIMA1 Rabbit Polyclonal Antibody [orb575143]
WB
Bovine, Canine, Equine, Guinea pig, Mouse, Rabbit, Rat
Human
Rabbit
Polyclonal
Unconjugated
100 μlLIMA1 Rabbit Polyclonal Antibody [orb577029]
WB
Bovine, Canine, Equine, Mouse, Porcine, Rabbit, Rat, Yeast, Zebrafish
Human
Rabbit
Polyclonal
Unconjugated
100 μlLIMA1 Rabbit Polyclonal Antibody (HRP) [orb2134287]
WB
Equine, Human, Mouse, Rabbit, Rat
Rabbit
Polyclonal
HRP
100 μl

Quality Guarantee
Explore bioreagents carefree to elevate your research. All our products are rigorously tested for performance. If a product does not perform as described on its datasheet, our scientific support team will provide expert troubleshooting, a prompt replacement, or a refund. For full details, please see our Terms & Conditions and Buying Guide. Contact us at [email protected].

IP Result of anti-EPLIN (IP: orb626771, 4 ug; Detection: orb626771 1:600) with mouse liver tissue lysate 4000 ug.

mouse liver tissue were subjected to SDS PAGE followed by western blot with orb626771 (LIMA1 antibody) at dilution of 1:500.

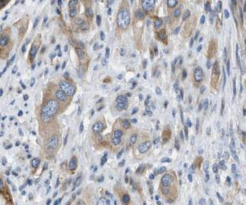
Immunohistochemistry of paraffin-embedded human pancreas cancer tissue slide using orb626771 (LIMA1 Antibody) at dilution of 1:50.
Quick Database Links
UniProt Details
−Documents Download
Request a Document
Protocol Information
LIMA1 Rabbit Polyclonal Antibody (orb626771)
Participating in our Biorbyt product reviews program enables you to support fellow scientists by sharing your firsthand experience with our products.
Login to Submit a Review










