You have no items in your shopping cart.
LGALS9 Antibody
Description
Research Area
Images & Validation
−| Tested Applications | ELISA, IF, IHC, WB |
|---|---|
| Dilution Range | WB:1:500-1:5000, IHC-P:1:200-1:500, IF:1:50-1:200 |
| Reactivity | Human, Mouse |
Key Properties
−| Host | Rabbit |
|---|---|
| Clonality | Polyclonal |
| Isotype | IgG |
| Immunogen | Recombinant Human Galectin-9 protein (1-323AA) |
| Target | LGALS9 |
| Purification | >95%, Protein G purified |
| Conjugation | Unconjugated |
Storage & Handling
−| Storage | Maintain refrigerated at 2-8°C for up to 2 weeks. For long term storage store at -20°C in small aliquots to prevent freeze-thaw cycles. |
|---|---|
| Form/Appearance | Liquid |
| Buffer/Preservatives | Preservative: 0.03% Proclin 300. Constituents: 50% Glycerol |
| Expiration Date | 12 months from date of receipt. |
| Disclaimer | For research use only |
Alternative Names
−Similar Products
−Galectin 9 Rabbit Polyclonal Antibody [orb11543]
IF, IHC-Fr, IHC-P
Human, Rat
Human, Mouse, Rat
Rabbit
Polyclonal
Unconjugated
50 μl, 100 μl, 200 μlGalectin 9 Rabbit Polyclonal Antibody [orb10687]
FC, WB
Bovine, Porcine, Rat
Human, Mouse
Rabbit
Polyclonal
Unconjugated
50 μl, 100 μl, 200 μlLGALS9/Galectin 9 Antibody [orb1538748]
ELISA, IF, IHC, IHC-P, WB
Human, Mouse, Rat
Rabbit
Polyclonal
Unconjugated
50 μl

Quality Guarantee
Explore bioreagents carefree to elevate your research. All our products are rigorously tested for performance. If a product does not perform as described on its datasheet, our scientific support team will provide expert troubleshooting, a prompt replacement, or a refund. For full details, please see our Terms & Conditions and Buying Guide. Contact us at [email protected].

Western blot analysis of mouse heart tissue using Galectin-9 antibody

Immunohistochemical staining of human adrenal gland tissue using Galectin-9 antibody

Immunofluorescence analysis of NIH/3T3 cells using Galectin-9 antibody

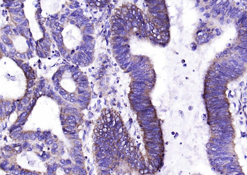
Immunohistochemical staining of human small intestine tissue using Galectin-9 antibody

Immunohistochemical staining of human endometrial cancer using Galectin-9 antibody
Quick Database Links
UniProt Details
−Documents Download
Request a Document
Protocol Information
LGALS9 Antibody (orb240262)
Participating in our Biorbyt product reviews program enables you to support fellow scientists by sharing your firsthand experience with our products.
Login to Submit a Review









