You have no items in your shopping cart.
You have no items in your shopping cart.
| Catalog Number | orb1951763 |
|---|---|
| Category | Antibodies |
| Description | Lactate Dehydrogenase Rabbit mAb |
| Clonality | Recombinant |
| Species/Host | Rabbit |
| Conjugation | Unconjugated |
| Reactivity | Human, Mouse, Rat |
| UniProt ID | P00338 |
| Tested applications | FC, ICC, IHC, IP, WB |
| Antibody Type | Recombinant Antibody |
| Storage | Maintain refrigerated at 2-8°C for up to 2 weeks. For long term storage store at -20°C in small aliquots to prevent freeze-thaw cycles. |
| Note | For research use only |

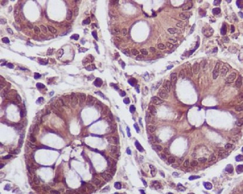
Immunohistochemical analysis of paraffin-embedded human colon, using Lactate Dehydrogenase Antibody.

Western blot analysis of LDHA expression in (1) Hela cell lysate; (2) Human heart lysate.
ICC, IF, IHC-Fr, IHC-P, IP, WB | |
Human, Mouse, Rat | |
Monoclonal | |
Unconjugated |
ICC, IF, IHC-Fr, IHC-P, IP, WB | |
Human, Rat | |
Monoclonal | |
Unconjugated |
Participating in our Biorbyt product reviews program enables you to support fellow scientists by sharing your firsthand experience with our products.
Login to Submit a Review