You have no items in your shopping cart.
KIRREL2 Antibody
Description
Images & Validation
−| Tested Applications | ELISA, IF, IHC-P, WB |
|---|---|
| Reactivity | Human, Mouse, Rat |
| Application Notes |
Key Properties
−| Antibody Type | Primary Antibody |
|---|---|
| Host | Rabbit |
| Clonality | Polyclonal |
| Isotype | IgG |
| Immunogen | KIRREL2 antibody was raised against a 17 amino acid peptide near the carboxy terminus of human KIRREL2.The immunogen is located within amino acids 550 - 600 of KIRREL2. |
| Target | KIRREL2 |
| Molecular Weight | Predicted: 64, 70, 78 kDa Observed: 70 kDa |
| Purification | KIRREL2 antibody is affinity chromatography purified via peptide column. |
Storage & Handling
−| Storage | Maintain refrigerated at 2-8°C for up to 2 weeks. For long term storage store at -20°C in small aliquots to prevent freeze-thaw cycles. |
|---|---|
| Form/Appearance | Liquid |
| Buffer/Preservatives | KIRREL2 antibody is supplied in PBS containing 0.02% sodium azide. |
| Concentration | 1 mg/mL |
| Disclaimer | For research use only |
Alternative Names
−Similar Products
−KIRREL2 Rabbit Polyclonal Antibody [orb580961]
WB
Bovine, Canine, Equine, Guinea pig, Mouse, Rabbit, Rat, Zebrafish
Human
Rabbit
Polyclonal
Unconjugated
100 μlLOC100359836 Rabbit Polyclonal Antibody [orb325539]
WB
Bovine, Canine, Equine, Guinea pig, Human, Mouse, Rabbit
Rat
Rabbit
Polyclonal
Unconjugated
100 μl

Quality Guarantee
Explore bioreagents carefree to elevate your research. All our products are rigorously tested for performance. If a product does not perform as described on its datasheet, our scientific support team will provide expert troubleshooting, a prompt replacement, or a refund. For full details, please see our Terms & Conditions and Buying Guide. Contact us at [email protected].

Western blot analysis of KIRREL2 in 293 cell lysate with KIRREL2 antibody at 1 µg/ml in (A) the absence and (B) the presence of blocking peptide.

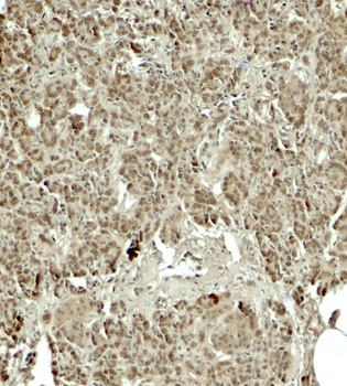
Immunohistochemistry of KIRREL2 in human pancreas tissue with KIRREL2 antibody at 5 µg/ml.

Immunofluorescence of KIRREL2 in human pancreas tissue with KIRREL2 antibody at 20 µg/ml.
Documents Download
Request a Document
Protocol Information
KIRREL2 Antibody (orb1239577)
Participating in our Biorbyt product reviews program enables you to support fellow scientists by sharing your firsthand experience with our products.
Login to Submit a Review




