You have no items in your shopping cart.
You have no items in your shopping cart.
| Catalog Number | orb1261562 |
|---|---|
| Category | Antibodies |
| Description | KCNMB2 Antibody |
| Target | KCNMB2 |
| Clonality | Polyclonal |
| Isotype | IgG |
| Conjugation | Unconjugated |
| Reactivity | Human, Mouse, Rat |
| Form/Appearance | Liquid |
| Concentration | batch dependent |
| Buffer/Preservatives | Liquid |
| Purification | Affinity purification |
| Immunogen | Recombinant fusion protein containing a sequence corresponding to amino acids 68-194 of human KCNMB2 (NP_005823.1). |
| UniProt ID | Q9Y691 |
| MW | Observed: 30kDa |
| Tested applications | IHC, WB |
| Application notes | WB: 1:500 - 1:2000IHC: 1:50 - 1:200 |
| Antibody Type | Primary Antibody |
| Storage | Maintain refrigerated at 2-8°C for up to 2 weeks. For long term storage store at -20°C in small aliquots to prevent freeze-thaw cycles. |
| Alternative names | calcium-activated potassium channel subunit beta-2 Read more... |
| Research Area | Neuroscience |
| Note | For research use only |

Western blot analysis of extracts of various cell lines, using KCNMB2 antibody at 1:1000 dilution.

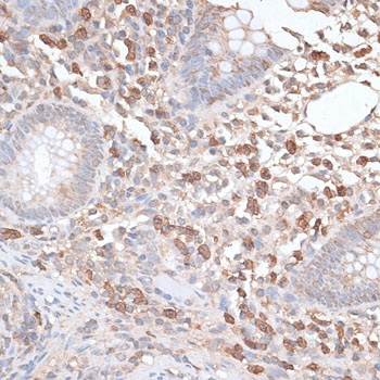
Immunohistochemistry of paraffin-embedded human appendix using KCNMB2 antibody at dilution of 1:100 (40x lens).
ELISA, IHC-P, WB | |
Human, Mouse, Rat | |
Polyclonal | |
Unconjugated |
IF, IHC, WB | |
Bovine, Human, Mouse, Rat | |
Rabbit | |
Polyclonal | |
Unconjugated |
Participating in our Biorbyt product reviews program enables you to support fellow scientists by sharing your firsthand experience with our products.
Login to Submit a Review