You have no items in your shopping cart.
You have no items in your shopping cart.
| Catalog Number | orb625286 |
|---|---|
| Category | Antibodies |
| Description | Rabbit polyclonal antibody to C2orf67 |
| Target | KANSL1L |
| Clonality | Polyclonal |
| Species/Host | Rabbit |
| Isotype | IgG |
| Conjugation | Unconjugated |
| Reactivity | Human, Mouse |
| Form/Appearance | liquid |
| Purity | ≥95% as determined by SDS-PAGE |
| Purification | Immunogen affinity purified |
| Immunogen | chromosome 2 open reading frame 67 |
| UniProt ID | A0AUZ9 |
| MW | 112,80 |
| Tested applications | ELISA, IF, IHC, WB |
| Dilution range | WB: 1:500-1:2000; IHC: 1:20-1:200; IF: 1:20-1:200 |
| Antibody Type | Primary Antibody |
| Storage | Maintain refrigerated at 2-8°C for up to 2 weeks. For long term storage store at -20°C in small aliquots to prevent freeze-thaw cycles. |
| Research Area | Epigenetics |
| Note | For research use only |

PC-3 cells were subjected to SDS PAGE followed by western blot with orb625286 (C2orf67 Antibody) at dilution of 1:1000.

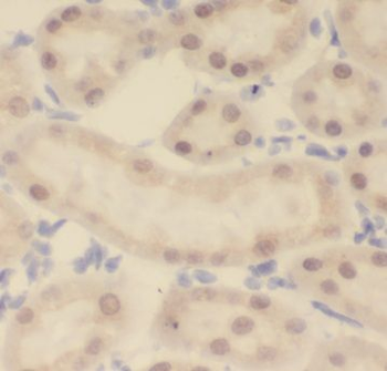
Immunohistochemistry of paraffin-embedded human kidney tissue slide using orb625286 (C2orf67 Antibody) at dilution of 1:50.
WB | |
Bovine, Canine, Equine, Guinea pig, Mouse, Rabbit, Rat | |
Human | |
Rabbit | |
Polyclonal | |
Unconjugated |
ELISA, IHC, WB | |
Mouse, Rat | |
Human | |
Rabbit | |
Polyclonal | |
Unconjugated |
Participating in our Biorbyt product reviews program enables you to support fellow scientists by sharing your firsthand experience with our products.
Login to Submit a Review