You have no items in your shopping cart.
IKZF2 Rabbit Polyclonal Antibody
Description
Research Area
Images & Validation
−| Tested Applications | ELISA, IHC, IP, WB |
|---|---|
| Dilution Range | WB: 1:500-1:2000; IP: 1:200-1:1000; IHC: 1:20-1:200 |
| Reactivity | Human, Mouse, Rat |
Key Properties
−| Antibody Type | Primary Antibody |
|---|---|
| Host | Rabbit |
| Clonality | Polyclonal |
| Isotype | IgG |
| Immunogen | IKAROS family zinc finger 2(Helios) |
| Target | IKZF2 |
| Molecular Weight | 65 kDa |
| Purity | ≥95% as determined by SDS-PAGE |
| Purification | Immunogen affinity purified |
| Conjugation | Unconjugated |
Storage & Handling
−| Storage | Maintain refrigerated at 2-8°C for up to 2 weeks. For long term storage store at -20°C in small aliquots to prevent freeze-thaw cycles. |
|---|---|
| Form/Appearance | liquid |
| Expiration Date | 12 months from date of receipt. |
| Disclaimer | For research use only |
Alternative Names
−Similar Products
−Helios rabbit pAb Antibody [orb768130]
ELISA, WB
Human, Mouse, Rat
Polyclonal
Unconjugated
100 μl, 50 μlZNFN1A2/HELIOS/IKZF2 Rabbit Polyclonal Antibody [orb623804]
ELISA, FC, WB
Human, Mouse, Rat
Rabbit
Polyclonal
Unconjugated
100 μgIKZF2 Rabbit Polyclonal Antibody [orb583811]
WB
Bovine, Canine, Equine, Guinea pig, Mouse, Rabbit, Rat, Yeast
Human
Rabbit
Polyclonal
Unconjugated
100 μl

Quality Guarantee
Explore bioreagents carefree to elevate your research. All our products are rigorously tested for performance. If a product does not perform as described on its datasheet, our scientific support team will provide expert troubleshooting, a prompt replacement, or a refund. For full details, please see our Terms & Conditions and Buying Guide. Contact us at [email protected].

human placenta tissue were subjected to SDS PAGE followed by western blot with orb627975 (IKZF2 antibody) at dilution of 1:500.

IP Result of anti-IKZF2 (IP: orb627975, 4 ug; Detection: orb627975 1:300) with Jurkat cells lysate 2400 ug.

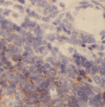
Immunohistochemistry of paraffin-embedded human lymphoma using orb627975 (IKZF2 antibody) at dilution of 1:100.
Quick Database Links
UniProt Details
−Documents Download
Request a Document
Protocol Information
IKZF2 Rabbit Polyclonal Antibody (orb627975)
Participating in our Biorbyt product reviews program enables you to support fellow scientists by sharing your firsthand experience with our products.
Login to Submit a Review





