You have no items in your shopping cart.
Description
Research Area
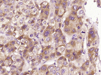
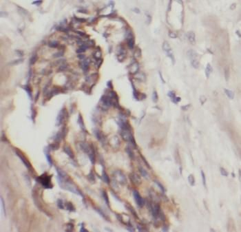
Images & Validation
−| Tested Applications | FC, IF, IHC, WB |
|---|---|
| Dilution Range | WB 1:500~1000, IHC 1:50, IF 1:50~100, FLOW 1:100 |
| Reactivity | Human, Monkey, Mouse, Rat |
Key Properties
−| Host | Mouse |
|---|---|
| Clonality | Monoclonal |
| Isotype | IgG1 |
| Immunogen | Full length human recombinant protein of human IFIT1 (NP_000899) produced in HEK293T cell. |
| Target | IFIT1 |
| Purification | Purified from mouse ascites fluids or tissue culture supernatant by affinity chromatography (protein A/G) |
| Conjugation | Unconjugated |
Storage & Handling
−| Storage | Maintain refrigerated at 2-8°C for up to 2 weeks. For long term storage store at -20°C in small aliquots to prevent freeze-thaw cycles. |
|---|---|
| Buffer/Preservatives | PBS (pH 7.3) containing 1% rAlbumin, 50% glycerol and 0.02% sodium azide. |
| Expiration Date | 12 months from date of receipt. |
| Disclaimer | For research use only |
Alternative Names
−Similar Products
−IFIT1 Rabbit Polyclonal Antibody [orb157632]
IF, IHC-Fr, IHC-P
Human
Rabbit
Polyclonal
Unconjugated
50 μl, 100 μl, 200 μlIFIT1 Rabbit Polyclonal Antibody [orb665569]
IHC, WB
Human, Monkey, Mouse, Rat
Rabbit
Polyclonal
Unconjugated
200 μl, 50 μl, 30 μl, 100 μlIFIT1 Rabbit Polyclonal Antibody [orb627922]
ELISA, IHC, WB
Human, Mouse, Rat
Rabbit
Polyclonal
Unconjugated
50 μg, 100 μg

Quality Guarantee
Explore bioreagents carefree to elevate your research. All our products are rigorously tested for performance. If a product does not perform as described on its datasheet, our scientific support team will provide expert troubleshooting, a prompt replacement, or a refund. For full details, please see our Terms & Conditions and Buying Guide. Contact us at [email protected].

Western blot analysis of HEK293T cells were transfected with the pCMV6-ENTRY control ( Left lane) or pCMV6-ENTRY IFIT1 ( Right lane) using IFIT1 antibody
Quick Database Links
Documents Download
Request a Document
Protocol Information
IFIT1 Antibody (orb1324995)
Participating in our Biorbyt product reviews program enables you to support fellow scientists by sharing your firsthand experience with our products.
Login to Submit a Review








